Osteosarcoma (OSA) is the most common primary malignant bone tumour in dogs, comprising around 85 percent of all skeletal tumours (Ehrhart et al., 2019). Osteosarcoma displays a bimodal age distribution, and although it typically affects middle-aged to older dogs (median seven years), there is a small peak in incidence in young dogs between 18 and 24 months of age (Misdorp and Hart, 1979).
Increased weight and height are risk factors for OSA development, with the most commonly affected breeds including large and giant breeds such as the German Shepherd, Golden Retriever, Rottweiler, Great Dane and Saint Bernard (Ehrhart et al., 2019; Ru et al., 1998).
Although there is conflicting literature regarding the association between neuter status and OSA development, male dogs have a slightly increased risk of OSA compared to females; one study documented that Rottweilers neutered before one year of age have a significantly increased risk of OSA development (25 percent lifetime risk), so neutering recommendations may be breed-specific (Cooley et al., 2002; Ehrhart et al., 2019).
Other risk factors for OSA development include metallic implants, fractures that were not internally repaired, osteomyelitis and radiation exposure (Bennett et al., 1979; Knecht and Priester, 1978a; Sinibaldi et al., 1976; Stevenson et al., 1982). One recent study showed a 40-times increased risk of proximal tibial OSA formation in dogs who had previously undergone tibial plateau levelling osteotomy (Selmic et al., 2018).
Clinical presentation
Most appendicular OSA arise from primitive bone cells of the medulla. They are typically found in the metaphyseal regions of long bones, with the most common locations including the proximal humerus, distal radius, proximal tibia and distal femur; thoracic limbs are more commonly affected than pelvic limbs (Ehrhart et al., 2019; Knecht and Priester, 1978b).
Dogs often present with swelling at the primary tumour site and progressive lameness. In rare cases, lameness can be acute in onset and severe due to pathological fracture
Dogs often present with swelling at the primary tumour site and progressive lameness. In rare cases, lameness can be acute in onset and severe due to pathological fracture. Respiratory signs due to pulmonary metastasis is uncommon at initial presentation, although dogs may have non-specific systemic signs (eg lethargy, hyporexia).
Diagnosis and investigations
Diagnosis and initial investigation
If OSA is suspected based on history and examination, imaging of the affected limb is initially indicated via either radiographs or computed tomography (CT).
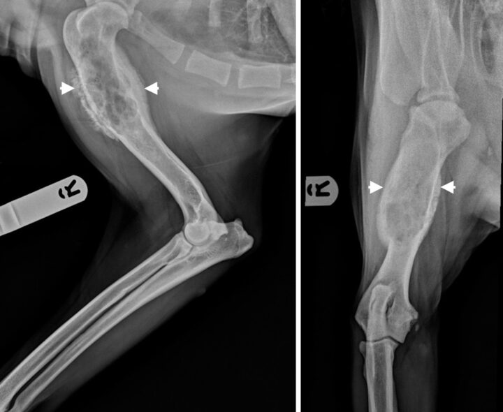
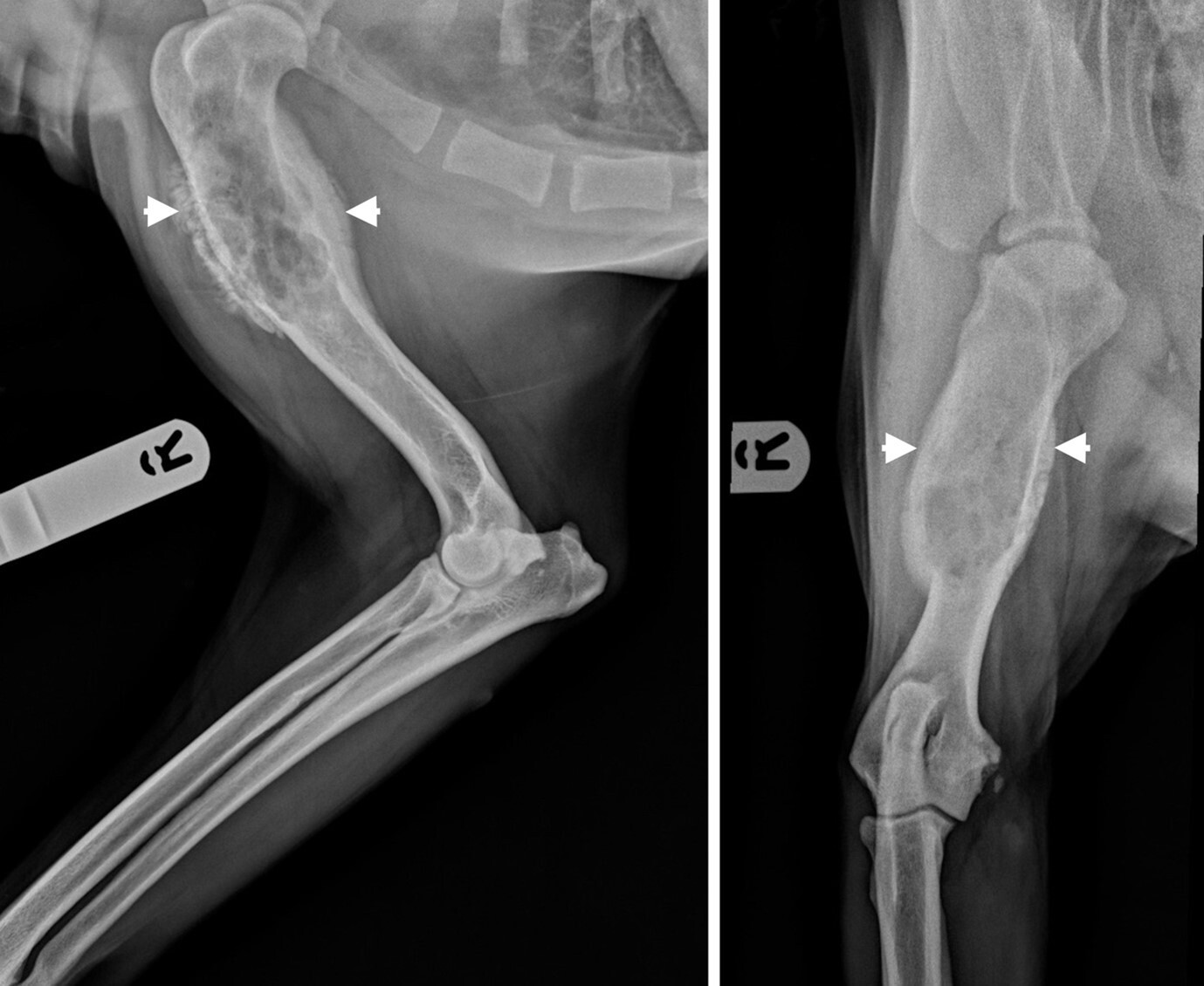
When performing radiographs, orthogonal views should be obtained. Although radiographic features can vary, there is generally evidence of both bony lysis and proliferation; the cortical lysis can be marked and lead to cortical discontinuity. There is often visible soft tissue extension with areas of new bone formation, typically perpendicular to the cortex. Other features include loss of the fine trabecular detail in the metaphysis and a long zone of transition between the normal and affected medullary bone. Figure 1 shows the typical appearance of an OSA.
It is important to note that although OSA is the most common primary bone tumour, other neoplastic differentials based on radiographic appearance can include chondrosarcoma, fibrosarcoma, haemangiosarcoma and metastatic lesions from other neoplasms (especially genitourinary carcinomas which have a higher rate of bone metastasis). Osteomyelitis, especially fungal, is also an important differential diagnosis.
Once concern for OSA arises, further investigations should be performed to confirm the diagnosis, stage the patient, and guide treatment recommendations and prognosis.
Further investigation
Initially, a minimum database consisting of haematology, biochemistry and urinalysis should be performed as this can screen for co-morbidities, assess suitability for sedation/general anaesthesia and offer prognostic information. For example, both increased alkaline phosphatase (over 110U/l) and increased monocytes (over 0.4k/µl) have been associated with poorer prognosis in canine OSA (Boerman et al., 2012; Schmidt et al., 2013; Sottnik et al., 2010).
Further imaging should be performed to assess for metastatic disease, which most commonly occurs via haematogenous spread to the lungs. Although most dogs already have pulmonary micro-metastasis by the time of diagnosis, only around 10 percent have visible metastatic lesions. Thoracic imaging with CT is recommended due to increased sensitivity compared to radiographs, although inflated 3-view thoracic radiographs are acceptable if CT is not possible. Imaging of the abdominal cavity should also be considered to rule out significant co-morbidities or metastasis to less common locations.
Imaging of the abdominal cavity should also be considered to rule out significant co-morbidities or metastasis to less common locations
If lesions are detected and accessible, sampling for cytology is indicated to try to rule in/out OSA metastasis versus an unrelated process. Osteosarcoma does not commonly metastasise to local lymph nodes, although these should be sampled if enlarged as the metastatic status of regional lymph nodes is prognostic (Hillers et al., 2005).
The primary tumour should be sampled to achieve a definitive diagnosis of OSA. Fine needle aspirate cytology can be performed initially as this has a high sensitivity and specificity (around 80 percent), which is very similar to the accuracy of histology (Sabattini et al., 2017). This can be improved with the use of cytological ALP staining (Barger et al., 2005).
Although there are a number of techniques to obtain a bone biopsy, the author prefers using a Jamshidi needle as these balance a high diagnostic accuracy rate with lower rates of complications (eg pathological fracture) compared to other methods such as open incisional or trephine biopsies. Regardless of sampling method it is essential to ensure the sample is obtained from the core of the lesion, as samples from the periphery are often composed of reactive tissue and bone remodelling and may not be diagnostic or representative of the underlying neoplastic process.
Treatment and prognosis
Amputation with adjuvant therapy
The standard-of-care treatment for canine OSA is amputation of the affected limb, followed by adjuvant chemotherapy; median survival times (MSTs) in the region of 10 to 12 months are reported for patients without visible metastasis at diagnosis (Bergman et al., 1996; Phillips et al., 2009). Most patients ultimately succumb to pulmonary metastatic disease. Adjuvant chemotherapy typically consists of four to six doses of carboplatin once every three weeks and is generally well tolerated. Doxorubicin has also been investigated both alone and alternating with carboplatin, with similar outcomes (Ehrhart et al., 2019).
The standard-of-care treatment for canine OSA is amputation of the affected limb, followed by adjuvant chemotherapy
Prognosis is poorer for dogs with proximal humeral tumour locations or visible pulmonary metastasis at diagnosis, with an MST of around three months reported for the latter (Boston et al., 2006; Sottnik et al., 2010).
Chemotherapy is effective against OSA in the microscopic disease setting, as MSTs are significantly longer for dogs treated with surgery and adjuvant chemotherapy compared to surgery alone (MST 10 to 12 months versus 4.5 months, respectively) (Spodnick et al., 1992). However, chemotherapy is generally not effective in the macroscopic disease setting (eg non-surgical cases or visible pulmonary metastasis); drugs including platinum agents, paclitaxel, doxorubicin, mitoxantrone and toceranib phosphate have all been evaluated with poor efficacy (Laver et al., 2018; Ogilvie et al., 1993; Poirier et al., 2004).
Limb-sparing options
Limb-sparing treatment options include surgery or radiation therapy (RT) and can be considered in dogs who are not candidates for amputation or where owners decline. Cases must be carefully selected, however, and treatment should be performed by clinicians with significant experience with the procedures.
Candidates for surgical limb-sparing (involving marginal tumour resection) include those with a tumour affecting less than 50 percent of the bone, absence of metastasis or pathological fracture and less than 360-degree involvement of soft tissues. Surgical techniques include the use of allografts, metal endoprosthesis, distraction osteogenesis and transpositions.
Limb-sparing treatment options include surgery or radiation therapy (RT) and can be considered in dogs who are not candidates for amputation or where owners decline
Dogs are administered adjuvant chemotherapy and outcomes are similar to dogs undergoing amputation and chemotherapy (Liptak et al., 2006; Séguin et al., 2019). Complication rates can be moderate, with infection being common.
An alternative to surgical limb salvage is radiotherapy (RT), specifically stereotactic RT. This involves the administration of a high total dose of radiation to the primary tumour in a single fraction alongside adjuvant chemotherapy. Survival outcomes are also similar to dogs undergoing amputation and chemotherapy although complication rates are moderate with around 60 percent of dogs developing pathological fractures requiring fixation or amputation, often around six months following RT (Farese et al., 2004; Kubicek et al., 2016).
Palliative treatment and management
If a palliative treatment approach is elected, then management should focus on effective multimodal analgesia. This may consist of combinations of non-steroidal anti-inflammatory drugs, paracetamol, gabapentin and amantadine.
Bisphosphonate infusions (eg pamidronate, zoledronate), often administered once every three to four weeks, should also be considered as they inhibit bone resorption, providing both effective analgesia and increased bone mineral density (Fan et al., 2007, 2008).
Hypofractionated RT protocols can also provide effective analgesia for the palliative management of OSA, with up to 90 percent of dogs enjoying improved quality of life following treatment (Ringdahl-Mayland et al., 2022).
The most effective pain relief strategies often combine analgesic drugs with bisphosphonates and/or RT. However, the prognosis for canine OSA when treated in the palliative setting is overall guarded to poor, with MSTs in the region of three to four months (Fan et al., 2007; Ringdahl-Mayland et al., 2022).
References (click to expand)
Andy Yale, BVMedSci (Hons), BVM, BVS (Hons), PGDipVCP, MVetMed, DipECVIM-CA (Oncology), MRCVS, is a European specialist in small animal oncology and works at the Royal Veterinary College, London. He is especially interested canine mast cell tumours and novel diagnostic and staging methods to optimise outcomes in veterinary cancer patients.
