This article is the second in a short series - please see the article on diagnosing malocclusions here.
Cases of malocclusion that cause traumatic occlusion require early intervention, whether the patients complain about the discomfort or not.
The treatment options of these cases depend on the unique presentation of individual patients. The treatment options available for these cases are:
- Extract the tooth that is either impinging on soft tissue or contacting a tooth on the opposing arcade
- Extract a tooth in the opposing arcade that obstructs or interferes with comfortable occlusion
- Crown reduction with endodontic treatment
- Orthodontic treatment to move teeth to comfortable positions
- Combinations of the above as indicated to accommodate individual variation
- Treatment of the soft tissue impingement defects or damaged teeth
- Genetic counselling
Extraction of the tooth or teeth causing traumatic occlusion
It is important to realise and inform the owner that any of our domesticated pets can have very functional dentition after the loss of any tooth or teeth. As an example, the main functions of the canine teeth are the killing of prey or defence. Neither of these functions is essential for domesticated animals. The loss of these teeth is not without implication though, as canine teeth are important for prehension and are the only “fingers” that our patients have!
The extraction of a canine tooth is quite an invasive surgery but our patients usually make an uneventful recovery after this procedure. The loss of a mandibular canine tooth reduces the support of the tongue and often leads to the tongue protruding on the side of the lost tooth (glossoptosis). This can cause more drooling from that side of the mouth and can contribute to moist dermatitis and lip fold dermatitis.
In cats, impingement of a mandibular canine on the ipsilateral upper lip after extraction of the maxillary canine tooth is a common complication and is usually not age-associated. In feline patients where the maxillary premolars of the buccal gingiva impinge on the opposing premolars and molar teeth, extraction of the maxillary teeth would be effective treatment. However, with the loss of the opposing dentition, the normal cutting ability of that side of the mouth is jeopardised. This does lead to reduction in natural plaque control during normal mastication. Teeth in the mandibular arcade might therefore be more prone to plaque stagnation and subsequent periodontal disease.
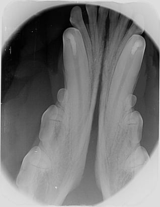
In general, an open extraction technique is advisable for the extraction of the large (especially the permanent) canine tooth. Closed extraction of the canine teeth in young animals can be tempting because the periodontal ligament space is usually wider than in mature patients. Tension-free closure of the site after closed extraction is usually not possible without mobilisation and advancement of the gingiva. Partial closure should be successful to retain the blood clot in the alveolus and support granulation and healing by second intention. Wound breakdown is a possible complication of open extraction techniques, but this can be avoided by appropriate technique ( Figure 1).
The formation of an oronasal fistula after extraction of a maxillary canine tooth or a mandibular fracture during extraction of a mandibular canine tooth remain possibilities, even in young patients. The extraction of deciduous canine or incisor teeth causing trauma to the palate or other soft tissue is the only practical treatment option.
The close proximity of the developing crowns of the permanent teeth is an important consideration. Contact with these structures during the extraction process could cause enamel defects on the permanent canine teeth. It is important to avoid the use of luxators or elevators on the lingual side of the deciduous mandibular canine teeth, and on the mesial aspect of the deciduous maxillary canine, during the extraction procedure.
Radiography is important to confirm the position and degree of resorption of the deciduous teeth to be extracted. Like all deciduous dentition, the tooth roots are extremely long in comparison to the length of the crowns. This is especially dramatic in deciduous canine and incisor teeth: the roots of these teeth could be as much as four to six times the length of the crown. For better visualisation, an open technique is advisable. The complete extraction of the deciduous canines is important in interceptive orthodontic procedures, as retained root remnants could still affect the position of the permanent succedaneous canine teeth. Post-operative radiography to confirm complete extraction in these cases is therefore important.
Interceptive orthodontics
Interceptive orthodontics is the term used to describe the extraction of a deciduous or permanent tooth that obstructs comfortable occlusion
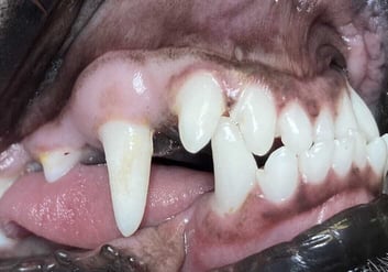
Interceptive orthodontics is the term used to describe the extraction of a deciduous or permanent tooth that obstructs comfortable occlusion in order to establish a comfortable, atraumatic occlusion. We usually extract a less significant tooth to save a strategically more important one. This remains an effective approach to address the consequences of malocclusion even though the remaining tooth might be the one in an anatomically abnormal position ( Figure 2).
An example would be an abnormally positioned mandibular canine tooth that occludes on the palatal aspect of a maxillary incisor. If left untreated, this would cause attrition to both of the teeth involved. Pressure exerted by the abnormal position of the canine would cause displacement of the maxillary incisor labially and prevent normal eruption of the associated mandibular canine tooth. The abnormal positioning of the mandibular canine could also cause impingement of the mandibular canine on the palate.
The sacrifice of a maxillary incisor tooth would then allow unobstructed eruption or occlusion of an abnormally positioned mandibular canine tooth. This would be less invasive and accommodate retention of the strategically more important mandibular canine tooth ( Figure 3).
Crown reduction with pulpectomy and endodontic treatment
Planned crown reduction to prevent contact of a tooth crown with soft tissue usually requires the removal of a significant part of the tooth crown and it is usually impossible to avoid exposing the pulp. During vital pulp treatment, an attempt is made to maintain pulp vitality and secure further dentine production in especially immature teeth. After crown amputation, a partial pulpectomy is performed to remove approximately a further 6mm of the coronal part of the remaining pulp. This creates the space for a dressing layer, as well as further layers of glass ionomer and composite materials, to seal the coronal access site ( Figure 4).
For crown reduction of mature teeth, total pulpectomy with root canal treatment can be considered because the long-term prognosis is better than vital pulp treatment. Root canal treatment also requires less frequent radiographic monitoring than vital pulp therapy. These are advanced procedures and these cases should usually be referred.
In cats, odontoplasty of impinging maxillary third and fourth premolars can be attempted. Radiography does provide an indication of the position and size of the pulp chamber, and by careful removal of a few millimetres of the crown, contact of the remaining tooth crowns with soft tissue can be eliminated.
Dentine exposed in this way should always be sealed with unfilled resin and if the operator is not confident in the use of the material, equipment and technique, odontoplasty should not be attempted and referral or alternative treatment options considered. Radiographic follow-up is very import to confirm pulp vitality and without a firm commitment from the owners to comply with this advice, it might be better to consider extraction of the teeth causing the impingement ( Figure 5).
Orthodontic treatment
The orthodontic movement of teeth, from positions of traumatic occlusion to comfortable positions, can be considered in selected cases. This involves applying a force to a tooth, by means of an orthodontic device, to stimulate bone remodelling to accommodate movement of teeth to a different, comfortable, position. The benefit of this treatment is that the teeth remain and it is generally less invasive than alternative treatment options. The devices utilised to exert the force required to achieve orthodontic movement are custom made for each individual case. This might vary from ball therapy to inclined planes, temporary crown extensions and active devices ( Figure 6).
Ball therapy can be effective to tip upright permanent canine teeth labially. The therapy involves chewing on a firm rubber ball for 15-minute-long sessions, three times a day. The ball should be small enough to be taken inside the mouth, but wider than the distance between incisive edges of the mandibular canine teeth, to be effective. If the desired movement of the teeth has not been achieved within 14 days with the use of ball therapy, alternative methods should be considered.
Combinations of the above options
Combinations of all the techniques described above can be formulated to address individual variation. Extraction of obstructing teeth combined with orthodontic devices would be a good example of this method ( Figure 7).
Treatment of the impingement defects
Curettage and lavage of the impingement defects or craters would remove inflammatory tissue and debris and, as long as the cause is removed, defects should heal effectively by second intention. With large defects, palatal bone exposure and oronasal fistula formation, palatal soft tissue can be mobilised to create flaps for surgical correction of the defects.
Treatment of wear facets
Any exposure of dentine would be painful at least until the odontoblasts lining the root canal had responded to this insult by production of tertiary (or reparative) dentine that would attempt to seal off exposed dentinal tubules. Restoration of wear facets can only be considered if the cause of the attrition has been eliminated. The effectiveness of this restoration process relies on early intervention. The severity of the lesions depends on how rapidly the wear occurred and also on the thickness of the dentine separating the wear facet from the pulp chamber at the time of restoration. With near exposure, this protective dentine barrier might be thin and, due to the porous structure of dentine, could have allowed the ingress of bacteria and irritants from the oral cavity, possibly causing pulpitis.
The radiographic monitoring of pulp vitality before attempting restoration, as well as long-term monitoring post-operatively, is very important. With radiographic evidence of pulpitis and/or pulp necrosis, the only treatment options to consider would be endodontic treatment or extraction of the affected tooth. The choice of restoration material is important and the wrong choice can contribute more chemical irritation to the pulp, so these cases should therefore be considered for referral.
Genetic counselling
Even though persistent deciduous teeth are considered the most important cause of malocclusion, they appear to be more common in certain breeds and could therefore have a genetic association
The direct link between genetics and malocclusion has not been established, but the fact that some cases of malocclusion occur more in some breeds than others is a very strong indication of an underlying genetic relationship. Even though persistent deciduous teeth are considered the most important cause of malocclusion, they appear to be more common in certain breeds and could therefore have a genetic association. A single tooth in an abnormal position in animals with a normal length of the upper and lower jaws can be considered to be more likely to have a traumatic cause, but even this has not been established. It is therefore very difficult (impossible really) to give an indication of whether a malocclusion has a genetic origin and it is imperative to strongly advise against breeding with affected animals. It is important that owners are informed and acknowledge this, ideally in writing, and that it is clearly noted on clinical records.
