“She still eats, plays and shows no signs of any pain” and “the breeder told me that it is normal” are common answers when owners are informed of a malocclusion in their young pets.
The best explanation for this perception is that we do understand English far better than we do dog and cat! As we experience with all other aspects of diagnostic work, our patient might in fact be complaining about an oral problem in the ways they do, but we (and pet owners) interpret their complaints less effectively than we think we do.
The anatomies of the sensory innervation of the oral cavity in humans and domesticated carnivores are very similar. In fact, the sensory nerves (almost exclusively the trigeminal nerves and its branches) follow very similar paths and even share the same names in humans and domesticated pets. The centres in the brain that have to receive and interpret these signals are also similar, so it is very likely that nociception does not depend on the ability to speak. One should therefore assume that any injury that would cause pain in humans would also be painful to animals. The fact that there are inter-species communication problems complicates our understanding and underestimates the welfare issues of malocclusion.
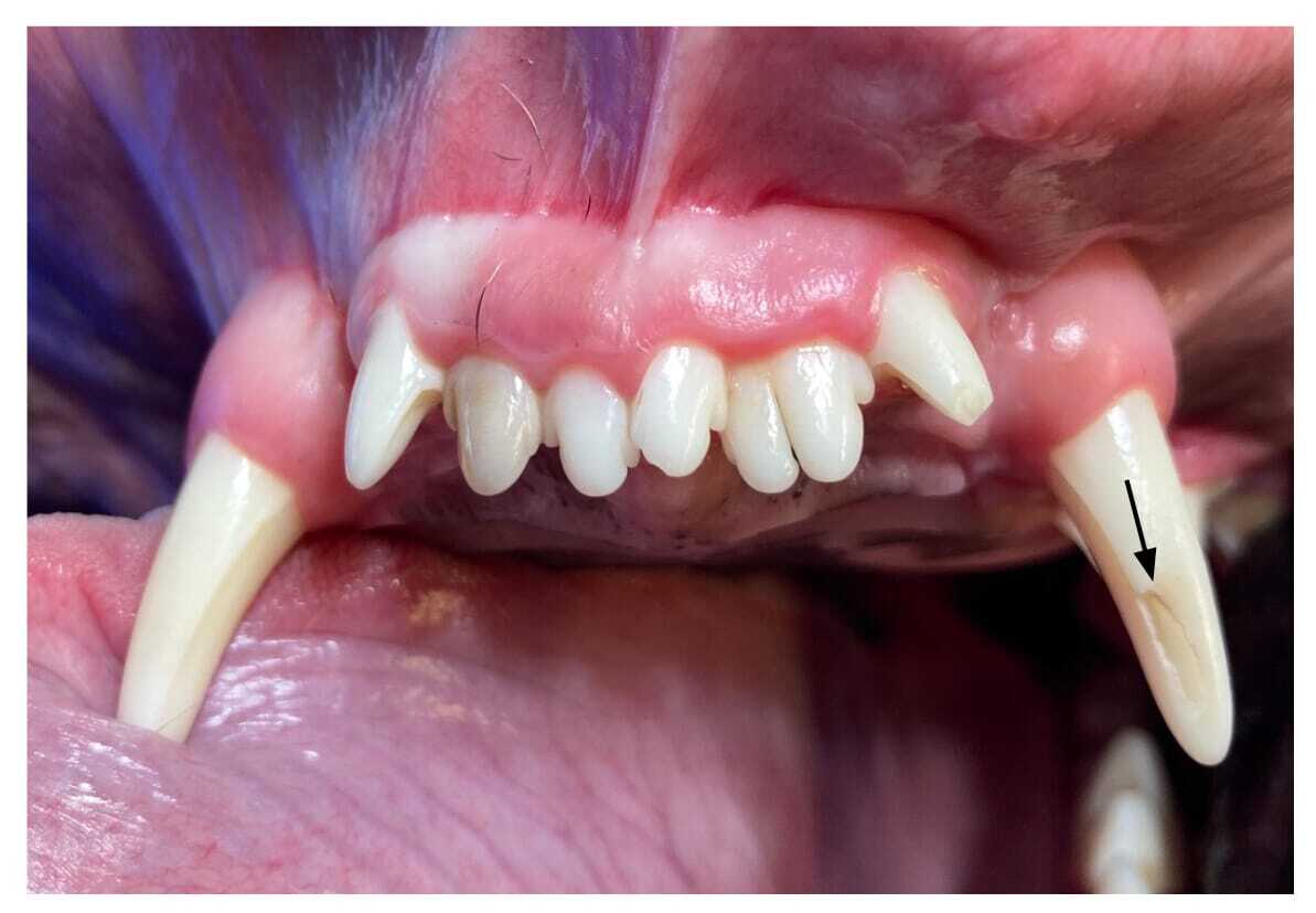
In cases of malocclusion, teeth in abnormal positions might impinge on oral soft tissue, or cause traumatic contact between teeth. The cause could either be a single or multiple teeth in abnormal positions or jaw length abnormalities, or combinations of the two. Without traumatic occlusion a malocclusion might therefore not necessarily require intervention (Figure 1).
The most frequent presentation of malocclusion in dogs involves mandibular canine teeth (both deciduous and/or permanent), either impinging on the soft tissue of the upper jaw or occluding onto opposing teeth in the maxillary arcade. In cats, the most common malocclusion causes are the impingement of the maxillary premolars on the gingiva on the buccal aspects of the opposing, ipsilateral, mandibular premolars and first molar teeth. Canine teeth in abnormal positions can cause similar problems in cats as in dogs, but is less common.
Indications for treatment
Pain
Of all the indications for treatment of malocclusion affecting either the deciduous or the permanent dentition, the pain it causes has the most immediate welfare implications for our patients. This occurs irrespective of whether our patients communicate this effectively or not.
Impaction of foreign material
Impaction of debris into soft tissue at impingement defects cause either persistent or recurrent focal inflammation. This should always be anticipated but can only be confirmed with investigation under sedation or general anaesthesia. Exploration of these impingement defects often produces a variety of foreign material. Owners often report that affected puppies are keen chewers of anything within reach. Any debris trapped in these impingement defects is very difficult or impossible to dislodge. In most cases, accumulated pebbles, plant material and food remnants, some several millimetres across, are forced into these lesions every time the mouth closes! The resultant inflammation contributes to the pain ( Figure 2).
Interference with normal growth
Entrapment of deciduous dentition in soft tissue impingement craters might interfere with the normal growth and elongation of the upper and lower jaws. Alleviating this possible interference by treatment of the problem frees up the jaws to develop to their genetically determined lengths. It is very important to make owners aware that it is likely that, despite effective treatment, a similar malocclusion affecting the deciduous dentition could present once the permanent teeth erupt.
An argument that is often used by owners and breeders is that malocclusion that affects deciduous dentition is temporary and “they will grow out of it” when the deciduous teeth exfoliate. Even though it is possible the permanent dentition could erupt into comfortable positions, a decision to not intervene is a decision that it is acceptable for these juveniles to be in discomfort or pain until this happens!
Attrition
Abnormal contact between opposing teeth often causes damage to all of the teeth involved. Because of the nature of dental hard tissues, attrition (the wear of teeth caused by contact with other teeth) occurs more gradually. Once the dentine is exposed these lesions would also cause pain. The latter should be transient because the odontoblasts lining the pulp chamber would respond to the nociception by producing tertiary or reparative dentine. The latter should successfully seal off the dentinal tubules affected and prevent further pain or ingress of bacteria or chemical irritants into the pulp chamber. Attrition that is too severe, or occurs too rapidly, might lead to exposure of the pulp and subsequent pulpitis, endodontic infection and inevitable periapical periodontitis (Figure 3).
Aetiology
The aetiology of malocclusion is not always clear but a few causes are often involved.
Persistent deciduous teeth
The most common cause of malocclusion is considered to be persistent deciduous teeth that interfere with the eruption of the succedaneous teeth. The permanent maxillary canine teeth in cats and dogs erupt on the mesial (“rostral”) aspect of the deciduous precursor. The permanent mandibular canines erupt on the lingual aspect of the deciduous precursor. Delayed or absent resorption and exfoliation of the deciduous maxillary canine therefore displaces the erupting permanent canine tooth mesially (in a rostral direction). This results in the narrowing of the incisor-canine diastema (the space between the third maxillary incisors and the ipsilateral maxillary canine tooth).
A persistent deciduous mandibular canine tooth interferes with the normal eruption path of the ipsilateral permanent mandibular canine tooth and displaces it lingually.
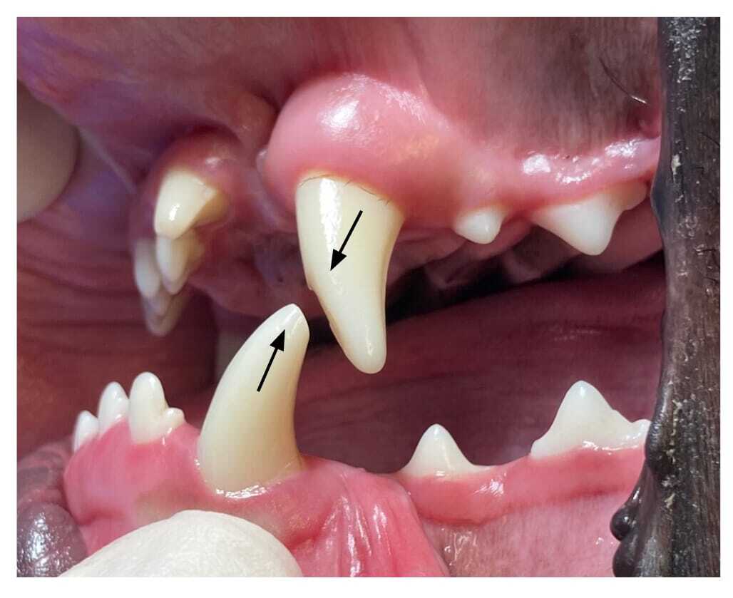
If both ipsilateral deciduous canine teeth are affected and persist longer than normal, the permanent mandibular canine is forced into a more upright position and with the reduced diastema it has no other option but to impinge on the palate (Figure 4).
Abnormal jaw length
Abnormal length of the upper or lower jaw can cause deciduous and permanent teeth to be in anatomically abnormal positions, even though they might be in the correct position within the jaw. It is always important to carefully examine whether incisor teeth in these shorter jaws are not impinging on soft tissue of either the palate (by mandibular incisors) or on the floor of the mouth (by maxillary incisors) (Figure 5).
Abnormally orientated teeth
In affected animals, one or more individual teeth could be in an abnormal position. This could have either a genetic or traumatic aetiology. A common malocclusion, that causes palatal trauma or attrition, is where one or both mandibular canines develop in an abnormally upright position. This can be due to, but is often not associated with, a narrower lower jaw (so called “base narrow”). The latter situation also causes displacement and crowding of the mandibular incisors.
Rostroversion/mesioversion (so called “lance canines”) of the canine teeth are more often encountered in specific breeds (eg Shetland Sheepdogs and Whippets) and therefore probably have a genetic association.
In cats, the impingement of maxillary third and/or fourth premolar teeth on the buccal gingiva and/or oral mucosa of the ipsilateral, opposing mandibular dental arcade can possibly be associated with a narrower lower jaw. In some cases, abnormal angulation of the maxillary premolars causes palatoversion of the maxillary third and/ or fourth premolar teeth, that then impinges on the soft tissue. The painful ulceration at the impingement defects can also cause damage to the gingiva and often leads to gingival recession and other signs of periodontitis, affecting the associated mandibular teeth (Figure 6). The chronic irritation caused by this malocclusion is considered to be the main contributing factor to the development of inflammatory granulomas (“pyogenic granuloma”) at this site (Figure 7).
Trauma
The traumatic displacement of a tooth bud or developing tooth could affect the eruption and final position of a permanent tooth. Occasionally the history indicates orofacial trauma in very young puppies or kittens but it is possible that breeders are unaware of such incidents. With the fact that these juveniles usually arrive at their new homes when they are about eight weeks old and therefore have deciduous teeth, traumatic causes are seldomly confirmed. Trauma should be considered as a cause with a single tooth in an abnormal position, with all other teeth in normal occlusion, in a patient with normal jaw length.
Diagnosis
The diagnosis of malocclusion and the development of an effective treatment plan depends on careful evaluation of occlusion at any possible opportunity of especially young dogs and cats under six months of age. At six months of age, we expect all of the deciduous teeth to be replaced by a complete set of permanent teeth. The involvement of the whole clinical team is very important for early identification of affected animals. The role of veterinary nurses is crucial, as they are often far more closely involved with these patients, assisting with control of endo- and ectoparasites, nutritional information, growth monitoring, behaviour advice and puppy parties to name but a few. It is important that these colleagues are able to recognise these abnormalities early and understand the management of these conditions to advise owners.
The conscious examination of lively kittens and puppies can be fun but not always conducive to effective occlusal evaluation. Photography and video are great tools now easily accessible with the use of mobile phones. These are valuable to record findings and discuss it with owners and colleagues. It also offers the opportunity to submit this invaluable information for second opinions for assistance with formulation of an appropriate approach.
A compounding factor is the fact that juveniles with painful malocclusions are often very head shy. Manipulation of the face and jaws can possibly be associated with abnormal pressure and increased discomfort caused by teeth impinging on soft tissue.
Another extremely good opportunity to have a definitive occlusal evaluation is sedation or general anaesthesia during the first six months of age or at neutering. To examine the occlusion effectively it is very important to do so prior to endotracheal intubation, as it is more difficult with an endotracheal tube in place. Photographic records at this stage are usually far more effective than attempts to photograph wriggly, conscious puppies or kittens.
