Humeral intracondylar fissure (HIF) is a condition that is most often seen in Spaniel breeds, particularly the English Springer Spaniel, although other breeds can also be affected. It is estimated to have a prevalence of 14 percent within English Springer Spaniels in the UK (Moores et al, 2012). HIF may cause thoracic limb lameness and pain on elbow manipulation, or it may be identified as an incidental finding. HIF can exist alongside other developmental elbow disease such as medial coronoid disease, OCD and radio-ulnar incongruence. Importantly, a dog with HIF is at risk of going on to develop intercondylar fracture, so there is benefit in the early recognition of the disease.
Aetiopathogenesis
The aetiopathogenesis of HIF is debated, but two main theories predominate. The first theory is that it is due to a failure of endochondral ossification (leading to the term incomplete ossification of the humeral condyle, IOHC) and the second is that it is caused by a stress fracture.
During canine growth, the distal aspect of the humeral condyle arises from two separate centres of ossification. The dividing cartilaginous plate ossifies by 8 to 12 weeks of age in a normal dog. If the cartilaginous plate were to fail to ossify, it could potentially lead to a fissure developing. In a humerus affected by HIF, the fissure develops at the site of the cartilaginous plate, providing strong evidence for a failure of endochondral ossification. One report of the his-topathology of the intercondylar region of a single clinically affected patient supported this mechanism. However, other histological studies have provided conflicting evidence, as lesions have lacked the proliferative or hypertrophic cartilage that would be expected in a case of failure of endochondral ossification.
The second theory is that the fissure is a type of stress fracture. Computed tomography (CT) has revealed sclerotic bone being commonly found in the area immediately adjacent to the intracondylar fissure (Figure 1). This bone reaction, typical of a stress-type injury, is consistent with an adaptive biological response to repetitive loading, or a failure of bone repair in an unfavourable mechanical or biological environment. CT has also demonstrated the development of a fissure in a previously normal humeral condyle, as well as the progression of a partial to a complete fissure, suggesting that the lesion is one that develops with time rather than with skeletal development.
It may be that elbow incongruency, especially radio-ulnar incongruency, plays a role in the development of an HIF, either by placing uneven stress on the humeral condyle during development resulting in a failure of ossification, or during activity resulting in a stress fracture. There is limited evidence to support the role of incongruency.
As the aetiopathogenesis of this condition is uncertain, and with the possibility that more than one mechanism may contribute to the formation of such lesions, the term humeral intracondylar fissure has become more widely adopted.
Diagnosis
The presentation of a Spaniel with thoracic limb lameness should always encourage a clinician to carefully image the distal humerus. Of course, other breeds can also be affected, so this condition should form part of any differential diagnosis list for thoracic limb lameness. Both elbows should be imaged, as the disease can be bilateral.
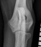
HIFs can be identified via radiography, with lesions most apparent on a craniocaudal projection (Figure 2), but they can be missed if the beam is not parallel with the plane of the fissure. A 15° craniomedial-caudolateral oblique projection has been proposed as the most likely projection to identify a fissure, but it may be prudent to obtain several different oblique projections in a case where there is strong clinical suspicion for the disease. CT or MRI are more sensitive for the identification of fissures and are indicated if available.
Treatment
There are two different indications to treat HIFs. However, treatment can be challenging, and, in some cases, controversial, due to a high complication rate for a procedure used to treat a lesion not always causing clinical signs. Firstly, HIF can cause lameness, so treatment is usually indicated to reduce pain. Secondly, the risk of fissure progression to humeral condylar fracture in the absence of trauma can be a reason to treat cases identified incidentally. A recent report suggested the rate of progression of a HIF identified incidentally progressing to fracture was 18 percent. This figure can be used to discuss the pros and cons of treatment with owners.
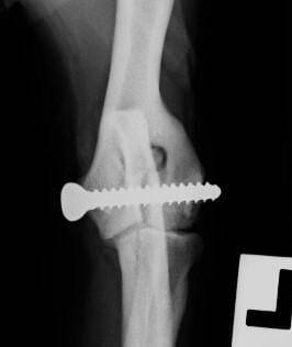
HIF is most commonly treated by placing a transcondylar screw across the fissure, but this is associated with a high incidence of post-operative complications. Overall complication rate in one study of 57 dogs (79 elbows) was 59.5 percent, with seroma (25 elbows) and surgical site infection (SSI; 24 elbows) being seen most commonly. At last known follow-up (variable time post-surgery), 34 elbows were subjectively sound and 19 were still showing lameness (Hattersley, 2011). Due to this very high complication rate, mediolateral screw placement has been proposed, but this is more demanding as the safe corridor is smaller in this direction due to the shape of the humeral condyle. There are various techniques to place screws accurately, such as using specialised drill guides and fluoroscopic guidance, but no technique is foolproof!
Historically, HIF was most commonly treated with the transcondylar screw placed as a lag screw. (Hattersley’s study showed a lower SSI rate for screws placed in lag fashion.) Many surgeons now consider that placing a positional screw is less likely to cause ongoing lameness after surgery, and there is still a disparity of opinion on this matter.
Not uncommonly, dogs return months or years after transcondylar screw placement with a recurrent lameness, and the screw is found to have broken at the site of the fissure. It has become apparent that the vast majority of these lesions do not heal but persist as stable non-unions. For this reason, drilling small bone tunnels across the fissure site has been reported as a treatment of HIF, both with and without concurrent placement of a transcondylar screw. A more recent report has described placing an autogenous bone graft into a transcondylar humeral bone core, mostly in combination with metallic implants. Lameness was improved and some bony bridging was observed via CT examination in this latter study.
Larger diameter bone screws are usually placed, in an attempt to limit the risk of fatigue failure of the screw (Figure 3). Use of a shaft screw with a large unthreaded portion and a negative profile thread engaging in the trans-cortex has also been reported, as these screws also offer increased resistance to fatigue failure. However, healing of the fissure has again been reported to be inconsistent.
Recently, a HIF-specific implant has been marketed. It is a titanium screw which is self-compressing, with a bone void around the central non-threaded mid-portion, which is filled at surgery with demineralised bone matrix. Outcomes after placement of this screw are unknown at this time.
Summary
HIF is a condition that clinicians should keep in mind when examining dogs with thoracic limb lameness. It can be successfully treated, but this is not without its challenges.
References (click to expand)
| Hattersley, R., McKee, M., O’Neill, T., Clarke, S., Butterworth, S., Maddox, T., Owen, M., Langley-Hobbs, S. J. and Comerford, E. | 2011 | Postopera-tive complications after surgical management of incomplete ossification of the humeral condyle in dogs. Veterinary Surgery, 40, 728-733. |
| Moores, A. P., Agthe, P. and Schaafsma, I. A. | 2012 | Prevalence of incomplete ossification of the humeral condyle and other abnormalities of the elbow in English Springer Spaniels. Veterinary and Comparative Orthopaedics and Traumatology, 25, 211-216. |
