Fractures which require internal fixation are relatively common in veterinary practices and the veterinary nurse (VN) will often be required to set up the appropriate instrumentation according to the requirements of the surgeon. The VN may also act as a scrub nurse throughout the procedure, and knowledge of the implants being used and the needs of the surgeon can aid in efficiency and also enhance job satisfaction for the VN. This article will help to equip veterinary nurses with knowledge of some instruments and implants that may be used in internal fracture repair.
Internal fracture fixation includes the use of implants such as intramedullary (IM) pins, cerclage wire and bone plates and screws. The surgeon will decide how best to repair a fracture based on various variables – eg type of fracture (oblique, spiral, transverse or comminuted), whether the fracture is open or closed, age and temperament of the patient, as well as the expertise and equipment available – but also according to aspects such as what forces will be acting against the fracture and how much load the bone can or cannot take.
Intramedullary pin and cerclage wire
One option for fractures, where it is appropriate to do so, is to use IM pins and cerclage wire. This is mainly reserved for spiral or oblique fractures of long bones, and IM pins should not be used alone. This is because although the IM pin can resist bending forces, they cannot resist rotational forces and so the cerclage wire can counteract this. Care should be taken, however, against implant migration (Kapler and Dycus, 2015).
As is the case with a lot of surgical procedures, it is a good idea to have “kits” available which will contain instruments needed for a certain method, rather than opening these individually ( Figure 1). For example, in the case of IM pins and cerclage wire the surgeon will need a Jacobs chuck (with key and pin holder), cerclage wire in a variety of sizes, wire twisters and wire cutters.
Bone plates and screws
Another one of the most common techniques used is bone plates and screws. However, there are still times when this may not be appropriate such as if there are open wounds present or if the surgeon will not be able to place a minimum of three screws on either side of the fracture line (Harasen, 2011). Bone plates can be used in three different ways:
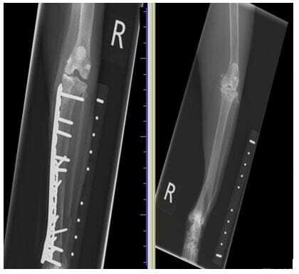
Compression
Compression is achieved through the use of a dynamic compression plate (DCP) and a specific DCP drill guide. When used with the gold “loaded” end of the drill guide, the hole is drilled off centre (away from the fracture) and so, when the screw is placed and it is forced into the centre of the hole (due to the design of the hole having a slope to force the screw into the centre of the hole), this compresses the fracture ends together. The neutral end of the drill guide can be used when compression isn’t required ( Figure 2; Farrell, 2016) Some locking plates can also have this design, giving the surgeon the option of using them to compress or not. Compression can only be achieved successfully if the fracture fragments are reduced fully and well aligned. With this method, the load on the bone post-operatively is shared between the bone and the plate ( Figure 3; Conzemius and Swainson, 1999)
FIGURE (3) This fracture was repaired under compression, as you can see the two ends of the fracture are accurately aligned
Neutralisation
Neutralisation is when screws are all placed in a neutral, non-compressive way. DCPs can be used for this but only using the neutral (green) end of the drill guide. Other plates can be used for this purpose such as locking plates as they don’t provide compression (although some do offer the choice of both). This method can be used alone, or with lag screws or intramedullary pins and cerclage wire. Using this method, the load on the bone post-operatively is shared between the bone and the implants used (Conzemius and Swainson, 1999).
Buttress or bridging
This is when the fracture fragments cannot be aligned. An IM pin is often driven through the furthest ends of the fracture to help align the fragments and then a plate is placed with screws in the proximal and distal parts of the fracture with the main part of the plate acting as a bridge across the gap where the fragments are. This helps to maintain alignment of the limb. Used alone in this way, the plate would be exposed to bending forces which is why it is often used alongside an IM pin as this will counteract these forces. Used in this way, the plate and pin will take on the load, giving the bone time to heal ( Figure 4; Conzemius and Swainson, 1999). The size of the plate and screws used will be determined by the surgeon based on preoperative radiographs. The size of the plate will determine the size of the screws; for example, a 2.0mm plate will always require 2.0mm screws, a 3.5mm plate will require 3.5mm screws, and so on.
The size of the plate and screws used will be determined by the surgeon based on preoperative radiographs
Types of plates available
There are many different plates available on the veterinary market, some of which are detailed here.
Dynamic compression plates
As discussed above, these can be used to compress fracture fragments but can also be used in neutralisation approaches. The introduction of locking compression plates has led to a decline in popularity of these plates.
Locking plates
Locking plate technology means that, unlike the DCP where there is compression and therefore movement of the bone, the screw (which has a thread in the head) engages with the thread in the hole of the plate. Because of this, the bone does not move. This has a number of advantages such as better blood supply as there is no compression, contouring of the plate is not necessary which saves time, and also if the surgeon only wants to place a mono-cortical screw this is fine because the screw head is engaged with the plate and so loosening won’t occur (which it may do with conventional plates and screws).
There are some disadvantages, however, such as the inability to place screws at an angle, they are more expensive than traditional plates and bending of the plates may not be possible without damaging the hole. Similarly, locking compression plates work as a combination of the above and either method can be used. There are some locking plates available on the market which are designed to be contoured also.
Additional instrumentation
As discussed previously, fracture repair can require quite a lot of instrumentation and often it is a good idea to have instrumentation provided as “kits” rather than having to open lots of individual instruments. Some companies provide these kits ready-made. For example, a kit for placing a 2.7 or a 3.5 plate would contain all the drill bits possibly required as well as a depth gauge and screwdrivers ( Figure 5). All that would then need to be added are the plates and screws, and any additional instrumentation, such as a power drill ( Figure 6), pointed reduction forceps ( Figure 7), bone holding forceps ( Figure 8), self-retaining retractors ( Figure 9) and handheld retractors ( Figure 10).
Knowledge of implants and instruments can improve efficiency and also help the VN to understand the surgical procedure
In summary
Fracture repair is something in which the VN can play many different roles. As a nurse working alongside the surgeon in theatre, as either a circulating or a scrubbed-in member of the team, knowledge of implants and instruments can improve efficiency and also help the VN to understand the surgical procedure. The instrumentation and the amount of instrumentation for these surgeries can be daunting to a more inexperienced VN; however, being involved, particularly by scrubbing in and handling some of the equipment and seeing it being used, will help build your knowledge and efficiency for the future.
References (click to expand)
| Conzemius, M. and Swainson, S. | 1999 | Fracture fixation with bone plates and screws. Veterinary Clinics of North America: Small Animal Practice, 25, 1117-1133 |
| Harasen, G. | 2011 | Orthopedic hardware and equipment for the beginner. Part 2: Plates and screws. The Canadian Veterinary Journal, 52, 1359-1360 |
| Farrell, M. | 2016 | Orthopaedic implants. In: Gemmill, T. and Clements, D. (eds.) BSAVA Manual of Canine and Feline Fracture Repair and Management. 2nd ed. BSAVA, Gloucester |
| Fossum, T. W. | 2007 | Small Animal Surgery. Elsevier, Missouri |
| Kapler, M. and Dycus, D. | 2015 |
A practitioner’s guide to fracture management, part 1: diagnosing fractures and choosing a fixation technique. Today's Veterinary Practice, 5, 18-22 |
