Acquired heart disease in cats is relatively common in general practice, reported to affect about 15 percent of the feline population (Payne et al., 2015). Congenital heart disease (CHD), while important, is more unusual. There are fewer general population studies reporting prevalence of congenital defects in cats, but figures from referral populations estimate a prevalence of between 0.13 and 0.2 percent of the feline population (Schrope et al., 2015; Tidholm et al., 2015).
Ventricular septal defects are the most represented congenital disease in cats, followed by mitral valve dysplasia and tricuspid valve dysplasia, patent ductus arteriosus and aortic and pulmonary stenosis
CHD, defined as developmental defects present from birth, is reported as either malformation of one or more areas of the heart or the great vessels, or the persistence of a normal foetal structure following birth. Ventricular septal defects are the most represented congenital disease in cats, followed by mitral valve dysplasia and tricuspid valve dysplasia, patent ductus arteriosus and aortic and pulmonary stenosis (Saunders, 2021; Ferasin et al.,2022; Tidholm et al., 2015). Defects can be simple or complex, and clinical signs vary depending upon the severity and number of defects. This includes patients that are asymptomatic, or are diagnosed with syncope, cyanosis or heart failure.
Characteristics of congenital heart disease
The most common indication of CHD is a heart murmur detected at first vaccination. Some murmurs may be “innocent”, which are purely physiological, with no structural abnormalities. These murmurs are usually quieter (grade III or below), occur during systole and, importantly, have no clinical signs. However, this does not rule out CHD. CHD will often produce a louder murmur (grade IV and above) which is diastolic or continuous, and have other heart sounds present, such as a gallop or arrhythmia. Cats are usually younger when diagnosed, but there are reports of adult cats diagnosed with CHD (Greet et al., 2021; Bascunan et al., 2017).
Clinical signs vary depending upon the severity and complexity of the abnormality, and therefore treatment will also differ. Due to higher intracardiac pressures on the left side of the heart, left-sided diseases do not necessarily need to be as severe as those causing right-sided disease to cause clinical signs. Table 1 outlines the different diseases and possible clinical signs reported in cats. Just as is seen in human medicine, cats can be diagnosed with more than one congenital defect.
| Presentation of disease | Defect | Clinical signs |
| Asymptomatic | Ventricular septal defect (VSD) | Smaller the VSD, louder the heart murmur |
| Left-sided disease | Mitral valve dysplasia Patent ductus arteriosus Aortic stenosis Cor triatriatum sinister |
Left base heart murmur Exercise intolerance Syncope Arrhythmias Left-sided congestive heart failure: Respiratory distress Pulmonary oedema Pleural effusion Tachypnoea |
| Right-sided disease | Tricuspid dysplasia Pulmonic stenosis Double chamber right ventricle |
Left base heart murmur Exercise intolerance Syncope Arrhythmias Right-sided congestive heart failure: Respiratory distress Ascites Pleural effusion Tachypnoea |
| Cyanotic disease | Tetralogy of Fallot Reverse patent ductus arteriosus Right-to-left shunting VSD |
Murmur dependent upon location of defect and quantity of shunting blood Exercise intolerance Collapse Polycythaemia |
Diagnosis of congenital heart disease
To make a definitive diagnosis, a thorough cardiac ultrasound is needed. Echocardiography allows for assessment of cardiac anatomy, direction of shunt flow, severity of the defect(s), secondary chamber enlargement and planning for possible intervention. For more complex defects, or for better visualisation, transoesophageal echocardiography, angiography, computed tomography or cardiac magnetic resonance imaging may be necessary. An electrocardiograph may be warranted to identify arrhythmias and blood pressure measurement to assess cardiac output. Full haematology and biochemistry might be suggested to rule out concurrent disease, and cardiac biomarkers such as NT-proBNP may be also indicated.
Ventricular septal defect
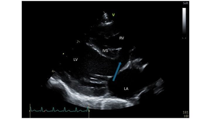
A ventricular septal defect (VSD) is a hole in the interventricular septal wall. It is usually found in the membranous part of the septum, just below the aortic valve. Due to the higher pressures in the left ventricle, blood usually flows from left to right. It is this shunting of blood that causes the heart murmur. Paradoxically, a smaller defect offers more resistance to blood flow and therefore creates a louder murmur, whereas a larger hole offers less resistance, thus causing a quieter murmur. Figure 1 shows a VSD on echocardiography, just below the atrioventricular valves.
Mitral valve dysplasia and tricuspid valve dysplasia
Although clinical signs will be different – mitral valve dysplasia (MVD) causing left-sided disease, and tricuspid valve dysplasia (TVD) right-sided disease – the actual valve apparatus malformations are the same. Defects include:
- Shortened and thickened chordae
- Direct papillary to valve attachment
- Papillary muscle fusion or displacement
- Malformation of the valve leaflet
- Stenosis of the valve
Due to the significant difference in intracardiac pressures, TVD will most likely need to be more severe to show clinical signs.
Patent ductus arteriosus
A patent ductus arteriosus (PDA) occurs when the normal ductus arteriosus has failed to close after birth. Intracardiac pressure in the aorta is greater than in the pulmonary artery, and so blood shunts across the PDA continuously. This can create volume overload of the left heart, causing left-sided congestive heart failure (L-CHF). In dogs, a loud and continuous heart murmur is indicative of a PDA. However, cats may not have the continuous heart murmur (Bascunan et al., 2017).
Aortic stenosis
It can be difficult to differentiate left ventricular hypertrophy caused by an outflow tract obstruction or from hypertrophic cardiomyopathy, hypertension or hyperthyroidism. The main difference seems to be age of presentation, although this is not always reliable
Stenosis, or narrowing, can occur in the aorta or the pulmonary artery. Three types of aortic stenosis (AS) have been identified: valvular, subvalvular and supravalvular. Subvalvular AS is most commonly diagnosed in cats, where protruding lesions usually consist of fibrous bands. However, it can be difficult to differentiate left ventricular hypertrophy caused by an outflow tract obstruction or from hypertrophic cardiomyopathy, hypertension or hyperthyroidism. The main difference seems to be age of presentation, although this is not always reliable, and so further diagnostic tests may be required to ascertain a diagnosis.
The stenosis can vary from a small lesion of little clinical significance to a concentric band causing severe clinical signs. The stenosis causes an obstruction to the blood leaving the left ventricle, and myocardial hypertrophy can occur as the ventricle works harder to eject blood. The increased stress on the ventricular wall can cause ventricular arrhythmias, leading to syncope or even sudden death. Increased pressures on the left heart can also cause L-CHF. A left-sided systolic murmur at the heart base is often auscultated at first vaccination, or a patient may present with clinical signs such as exercise intolerance, syncope or CHF.
Pulmonic stenosis
As described with AS, pulmonic stenosis is also diagnosed in cats, often in conjunction with other congenital cardiac defects. A left-sided systolic murmur at the heart base is often auscultated at first vaccination, or a patient may present with clinical signs such as exercise intolerance or syncope. As with AS, clinical signs will vary on the severity of the stenosis, and some patients may be asymptomatic.
Cyanotic disease
In even rarer cases, congenital cardiac disease can cause cyanosis. These diseases include tetralogy of Fallot, reverse shunting PDAs and right-to-left shunting VSDs. Due to the complexity of tetralogy of Fallot, it has a poor prognosis (Chetboul et al., 2016).
Nursing patients with congenital heart disease
If echocardiography is taking some time due to the complex nature of the defects, the cat may not be able to tolerate lateral recumbency for long, especially if CHF is present, as this will compromise lung function
Nursing actions will depend upon clinical signs and diagnosis. Reducing stress for the cat and managing the cat’s environment are vital components of nursing care. Cats may require oxygen supplementation, thoracocentesis and breaks between diagnostic tests. It is helpful to discuss with the veterinary surgeon the diagnostic tests required and prioritise the order they are done, to allow the cat time to rest between tests. Furthermore, if echocardiography is taking some time due to the complex nature of the defects, the cat may not be able to tolerate lateral recumbency for long, especially if CHF is present, as this will compromise lung function. A nurse should always be mindful in these cases, because curiosity should not compromise patient care.
Conclusion
CHD is rare in cats, and there are many variables in how they may present. Cats are more likely to be younger and have a louder heart murmur. They can present with left- and/or right-sided heart failure, collapse and cyanosis. All cats exhibiting signs of respiratory compromise need to be handled with caution and minimal stress.
Small Animal Cardiology
ISVPS General Practitioner Certificate (GPCert)
Postgraduate Certificate (PgC)
References (click to expand)
Charlotte Pace qualified as a veterinary nurse in 2003. She worked at the Royal Veterinary College and became a dedicated cardiology nurse, passing the VTS exam in 2010. Charlotte has taught veterinary nurses in both degree and diploma programmes, and now works in practice while still writing and lecturing on veterinary cardiology. She was the president of the British Veterinary Nursing Association for 2022/23.
