Oral tumours account for 6 to 7 percent of all canine tumours and, in most cases, are malignant (Lee et al., 2021). Tumours can arise from many locations including the gingiva, periodontal structures, mucosa, tongue and tonsils. This article will focus on four common canine oral tumours: malignant melanoma (MM), squamous cell carcinoma (SCC), fibrosarcoma (FSA) and acanthomatous ameloblastoma (AA). Other tumours that can arise in the oral cavity include osteosarcoma, chondrosarcoma, multilobular osteochondrosarcoma, lymphoma and transmissible venereal tumours. Examples of various canine oral tumours are presented in Figure 1.
There are key differences between the clinical presentation and biologic behaviour of canine oral tumours, and these depend on tumour type. Oral MMs are aggressive tumours with a high rate of local recurrence and metastasis (up to 80 percent) and are associated with a guarded prognosis (Treggiari et al., 2016). Oral SCCs are most commonly located on the rostral mandible and frequently demonstrate bone invasion (up to 80 percent). Although they are locally invasive, they carry a lower rate of metastasis (up to 30 percent) and can be associated with a good to excellent prognosis following excision (Sharma et al., 2021). Similarly to SCC, oral FSA are locally invasive tumours with a relatively low rate of metastasis (up to 30 percent). They are commonly located on the maxillary gingiva or hard palate and can have a moderate-high rate of local recurrence. Prognosis can still be good with complete excision (Martano et al., 2018). AAs, commonly found on the rostral mandible, are benign tumours that do not metastasise but are associated with high rates of local invasion; surgical excision can prove curative (Goldschmidt et al., 2017).
Often dogs present due to the presence of a visible oral mass noticed by the owner. Other common clinical signs include hyporexia, difficulty prehending or chewing food, pain upon opening the mouth, ptyalism, halitosis and haemorrhagic oral discharge. Caudal tumours may also cause exophthalmos and facial swelling/asymmetry.
Diagnosis and staging
Achieving a definitive diagnosis prior to treatment of canine oral tumours is important as the surgical recommendations, adjuvant therapy options and prognoses are different for each tumour type. Diagnosing the primary tumour can be attempted via fine needle aspiration in the first instance, which has a reported diagnostic accuracy of 92 to 98 percent compared to histopathology (Bonfanti et al., 2015). However, cytology may not always be fully representative as oral tumours are frequently inflamed, infected or necrotic. Therefore, an incisional biopsy for histopathology is often required for a definitive diagnosis. This also allows for immunohistochemical stains to be used if needed, for example in the diagnosis of amelanotic MM.
Staging most commonly utilises the TNM system (Owen, 1980) and assesses the tumour size and the presence or absence of regional and/or distant metastasis to designate an overall stage (Table 1).
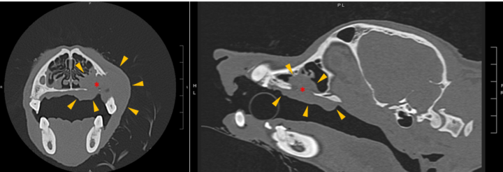
Imaging of the head should be performed via radiography or, ideally, computed tomography (CT) to assess the extent of local disease (Figure 2). Computed tomography is significantly more sensitive at detecting bone lysis and adjacent tissue invasion compared to radiographs, both of which are important factors for surgical planning (Ghirelli et al., 2013).
| Stage grouping | Explanation |
|---|---|
| I | Tumour less than 2cm diameter |
| II | Tumour 2 to 4cm diameter |
| III | Tumour greater than 4cm diameter |
| and/or ipsilateral lymph node metastasis | |
| and/or bone involvement | |
| IV | Any tumour diameter |
| and/or contralateral lymph node metastasis | |
| and/or distant metastasis |
Lymph node (LN) size does not always correlate with metastatic status, as demonstrated in one study wherein 40 percent of dogs with normal sized regional LNs harboured nodal metastasis (Williams and Packer, 2003). Therefore, regional LNs should be sampled regardless of size. For oral tumours, the submandibular and medial retropharyngeal LNs should be sampled bilaterally as the lymphatic drainage can be unpredictable and contralateral metastasis is common (Grimes et al., 2019). It should be noted that cytology will miss metastatic disease in some cases, and lymphadenectomy for histopathology is considered gold standard for the detection of nodal metastasis (Fournier et al., 2018). Assessment for distant metastasis most commonly involves thoracic imaging via either inflated three-view radiographs or, ideally, CT, as this is more sensitive for detection of pulmonary nodules compared to radiographs (Ghirelli et al., 2013). Oral MM can also metastasise to intraabdominal sites, including the LNs and liver. Therefore, abdominal ultrasound or CT should also form part of the staging process for MM.
Treatment and prognosis for specific tumour types
Malignant melanomas
Oral MMs are biologically aggressive, with most patients dying from distant metastasis rather than local disease. The prognosis for this type of oral tumour is variable, with median survival times (MST) reported between six months and two and a half years depending on treatment approach and a variety of prognostic factors. These include tumour stage, mitotic index, Ki67 index, and degree of pigmentation (Smedley et al., 2011).
Wide excision, with minimum 2cm margins, is the treatment of choice, though it usually requires mandibulectomy or maxillectomy procedures. The risk of local recurrence is moderate, occurring in around 30 percent of cases (Sarowitz et al., 2017; Tuohy et al., 2014). Adjuvant radiation therapy (RT) can be considered in cases of incomplete excision and can also be used in the gross disease setting. Melanomas are considered radiation-sensitive tumours, with response rates of around 80 percent reported; however, recurrence still occurs in up to 45 percent of cases, with a median progression free interval of around 6 months (Kawabe et al., 2015; Proulx et al., 2003). Chemotherapy is not particularly effective against MMs, with response rates of only 30 percent to carboplatin in the gross disease setting and no clear benefit in the adjuvant setting (Proulx et al., 2003; Rassnick et al., 2001; Tuohy et al., 2014).
The Oncept melanoma vaccine is licensed for use as adjuvant therapy in locally-controlled stage II and III canine oral malignant melinoma tumours and has been shown to improve survival times
Immunotherapy holds promise in the treatment of MMs. The Oncept melanoma vaccine is licensed for use as adjuvant therapy in locally-controlled stage II and III canine oral MM tumours and has been shown to improve survival times, although there is contradictory evidence regarding its efficacy. In the gross disease setting, a clinical benefit can be seen in less than 60 percent of cases using this treatment (Grosenbaugh et al., 2011; Ottnod et al., 2013; Verganti et al., 2017). A newer vaccine against CSPG4 has also been developed and appears beneficial (Piras et al., 2017).
Squamous cell carcinoma
Surgery is the main treatment approach for canine oral SCCs, and MSTs of greater than three years are reported (Kuhnel and Kessler, 2014). Prognosis depends on a variety of factors, with tumour stage being highly influential; one study demonstrated MST was not reached for dogs with stage I disease compared to 50 days for stage IV disease (Fulton et al., 2013). The risk of local recurrence with these oral tumours correlates to histologic margin status, so achieving complete excision is important (Sarowitz et al., 2017). Recurrence rates following mandibulectomy procedures are less than 10 percent and less than 30 percent following maxillectomy procedures (Vail, 2020).
Prognosis [of squamous cell carcinoma] depends on a variety of factors, with tumour stage being highly influential
Radiation therapy can be used in the adjuvant setting following incomplete excision or as a sole treatment in the gross disease setting. When used alone to treat gross disease, MST in the region of 14 months is reported (Grier and Mayer, 2007). Although there is limited literature assessing the benefit of adjuvant chemotherapy for oral SCCs in dogs, its use has been reported in the gross disease setting. A 57 percent complete response rate was reported in dogs receiving carboplatin and piroxicam with a MST of 534 days in one study (de Vos et al., 2005).
Fibrosarcoma
The treatment approach for canine oral FSA is similar to SCC; however, the rate of local recurrence is higher (up to 55 percent). Aggressive surgery to obtain complete excision is therefore important, and multimodal treatment combining surgery and adjuvant RT provides the best outcomes (Gardner et al., 2013). Radiation therapy in the gross disease setting is unrewarding as FSAs are considered relatively radioresistant, with survival times of just seven months reported (Thrall, 1981). The prognosis for FSA can vary and is dependent on various prognostic factors, including completeness of excision and tumour stage. One study demonstrated MST of two years with surgery alone (Frazier et al., 2012).
Aggressive surgery to obtain complete excision [of fibrosarcomas] is important, and multimodal treatment combining surgery and adjuvant RT provides the best outcomes
A syndrome referred to as “histologically low-grade but biologically high-grade FSA” describes an often benign histologic appearance to some FSAs (usually reported as “fibroma” or “low-grade FSA”) despite an aggressive biologic behaviour. This is especially common for FSAs on the hard palate or maxilla, and these oral tumours should be treated aggressively regardless of histologic grade or description (Ciekot et al., 1994).
Acanthomatous ameloblastoma
Surgical excision of AAs can result in an excellent prognosis and be curative. Due to the high degree of bone involvement, excision with at least 2cm margins (mandibulectomy or maxillectomy) is required. One study reported 100 percent complete excision with 2cm lateral margins compared to only 75 percent with 1.5cm margins (Goldschmidt et al., 2017). Local recurrence is often less than 5 percent following wide excision. Radiation therapy may be considered in the adjuvant setting and can also be successful in the gross disease setting (Theon et al., 1997).
Conclusion
Treatment of canine oral tumours should be planned after and based on a definitive diagnosis. Surgery is the mainstay of treatment, although multimodal therapy with the addition of RT, chemotherapy or immunotherapy may be indicated based on tumour type and the completeness of excision.
Dentistry and Oral Surgery
ISVPS General Practitioner Certificate (GPCert)
Postgraduate Certificate (PgC)
References (click to expand)
Andy Yale, BVMedSci (Hons), BVM, BVS (Hons), PGDipVCP, MVetMed, DipECVIM-CA (Oncology), MRCVS, is a European specialist in small animal oncology and works at the Royal Veterinary College, London. He is especially interested canine mast cell tumours and novel diagnostic and staging methods to optimise outcomes in veterinary cancer patients.
