Statistics show that 32 percent of canine consults are skin cases in general practice, and that 20 to 30 percent of these are otitis cases. Therefore, 6 to 10 percent of consults in small animal practice are about ears.
Otitis cases often require more frequent, regular appointments and, unless you are careful, the day will fill up with ears! This means that, with a consult room running at approximately £220 per hour, the longer the consult, the more expensive it becomes. It is important that your practice is streamlined, and doing this requires a whole practice approach. One idea would be to run otitis clinics twice a week (perhaps for two hours in the morning). It is important to remember that the veterinary nurse (VN) can assist with this greatly to keep everything flowing.
Streamlining the consult process
Consult time management is essential in keeping your otitis consults streamlined. With a new case, 30 minutes is advised, and the time should be divided as follows:
- 10 minutes: detailed dermatological history
- 5 to 10 minutes: general assessment of skin, to establish if an allergic component is driving the otitis, as well as otoscopic examination of the ears, sampling for in-house cytology and microscopy (Figure 1)
- 10 minutes: provide a clinician’s explanation (answering the question of “what are our goals here?”) as it is prudent to inform the owner from the start that imaging (CT) may be required and flushing the ear under general anaesthetic (as sedation is not enough) may be required quite early on in treatment, especially if the ear canal is full of biofilm. The factors to establish here are whether the owner can dedicate the time to medical management if there is chronicity and extensive ear disease, and whether the animal’s temperament is suited to receiving daily medication without that adversely affecting the pet–owner bond
- 5 minutes: writing up detailed notes
Follow-up appointments could be 15 minutes, with 5 minutes for history, 5 minutes for sampling and cytology and 5 minutes for closure.
Now, the usual method during a consult if assistance is required is that the clinician calls out the back for a nurse and waits to see who appears! If this happens, the VN might be called away from something they are involved in and they are not primed for the appointment. Organisation is key for time management. So, a better way to manage these situations is for VNs to be integrated into the consult from the beginning, which will see your staff working to the best of their abilities and help your consults flow smoothly.
The role of the veterinary nurse
How does the clinician carry out a thorough examination, perform cytology and microscopy, explain their findings to the owner and make a plan, plus write up detailed notes in a 15-minute consult? The VN can provide invaluable aid in this instance.
VN help falls into several categories: organisational help, hands-on help, medication and demonstrations.
Organisational help
Fielding questions, providing estimates for procedures and making follow-up appointments are all ways the VN can provide organisational help. Furthermore, the VN will be better placed as they will know the patient and the clinician’s diary and can ensure continuity is established.
Fielding questions, providing estimates for procedures and making follow-up appointments are all ways the VN can provide organisational help
Hands-on help
This includes holding for otoscopic examination, stocking clean (autoclaved) otoscope heads (one for each ear) and any other consumables needed, sending off samples and filling out the lab forms, and staining and examining samples.
In-house cytology is also a quick, efficient and easy test which is required at every visit. This skill can be learnt very quickly by a VN who can take an initial look for the clinician.
Medication
The veterinary nurse can organise the medications and “go through them” with the owner.
Demonstrations
The VN can give the owner a brief demonstration of how to clean the ears – this can be done in another room and hence ends the consultation with the clinician.
The VN can give the owner a brief demonstration of how to clean the ears – this can be done in another room and hence ends the consultation with the clinician
Many owners do not know how to clean ears and may be embarrassed to ask. It is vital for the management of the case for this to be clear:
- Flood the ear with the wash
- Massage gently for 2 minutes then allow the patient to shake their head and wipe any debris off the ear pinna, not sticking anything into the canal
- Repeat until the effluent runs clear; this is especially important for Pseudomonas otitis and sometimes for Malassezia otitis (Figure 1A) which can create a slimy biofilm which protects the microbes, making medication unable to penetrate
- Allow a 30 to 60 minute break before applying medication so that it is not diluted by the wash
What are the benefits to this consult structure?
The benefits to having this consult format and involving your VNs in the process are that the owner is given a diagnosis in the consultation room and that they can be reassured that, with the diagnosis, a plan has been formulated. They also have a point of contact (the VN) who may be more available to them for future questions or concerns. It is worth noting that in otitis cases, it is the owner doing the cleaning and medicating at home, so getting a good rapport with them is vital from the beginning to have them on board.
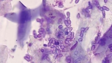
If otitis becomes something you have an interest in, a microscope can be set up in the consult room with a camera and TV attachment, so the owner can see the microbes on the screen (Figure 2). On repeat visits they can then see the microbe number (hopefully!) reduce, making it worth all the effort. This can really motivate them to get involved in their pet’s recovery.
In summary
Having a veterinary nurse to assist the clinician is key to keeping on time during a busy surgery while offering a good service to patients that need a little extra time and attention
It takes time to work up and treat ear disease, and to explain the required information to the care giver. Having a veterinary nurse to assist the clinician is key to keeping on time during a busy surgery while offering a good service to patients that need a little extra time and attention. It gives the clinician time to focus on strategic planning for the case, provides the VN with a rewarding role within the practice and hopefully results in a satisfied client and a happier pet.
