Congestive heart failure (CHF) is defined as fluid accumulation caused by an inability of the heart to maintain forward flow, which causes increased capillary hydrostatic pressure behind the heart and fluid transudation into tissue.
In humans, the abbreviation CHF is used for “chronic heart failure”, which does not require fluid accumulation for diagnosis, and in veterinary medicine we have historically used terms like “forwards failure”, which contribute to confusion. For veterinary cardiologists, CHF is manifest as pulmonary oedema (left-sided heart failure) or pleural effusion or ascites (right-sided heart failure).
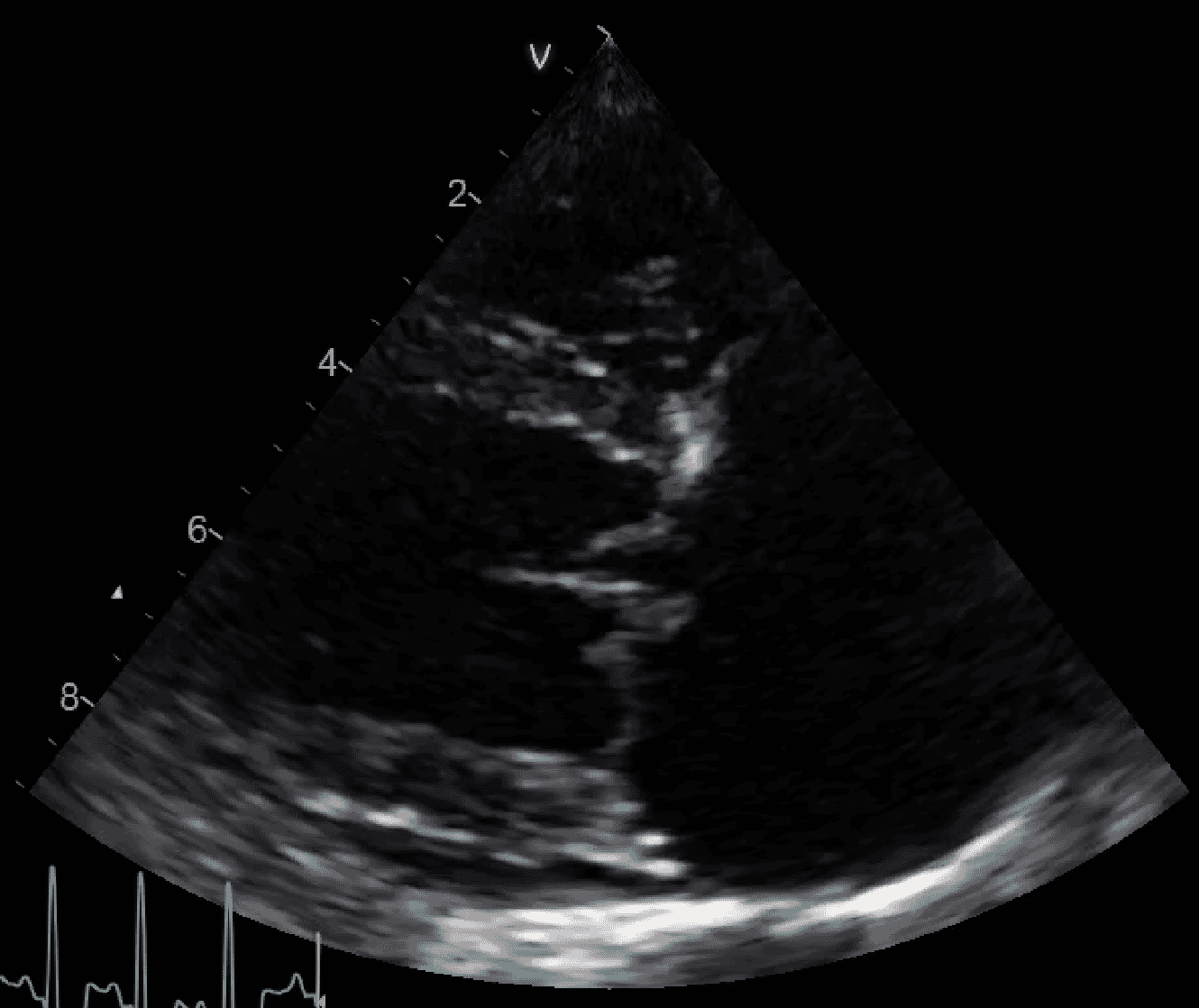
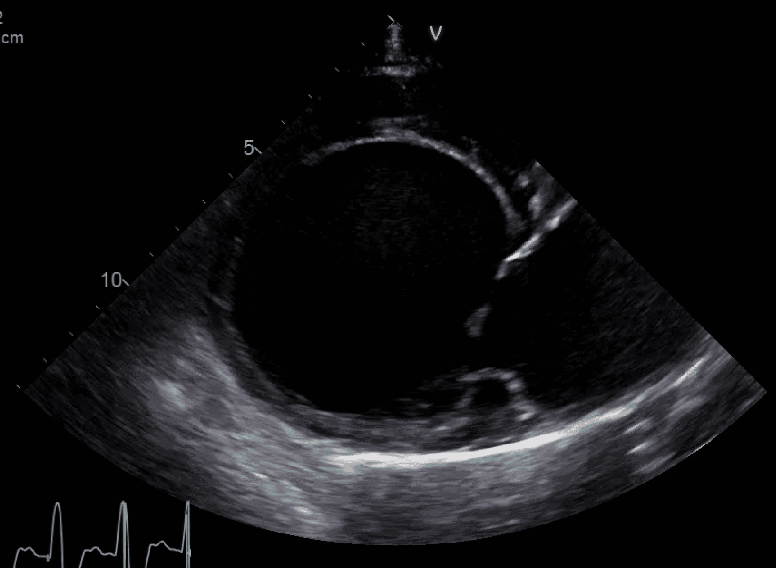
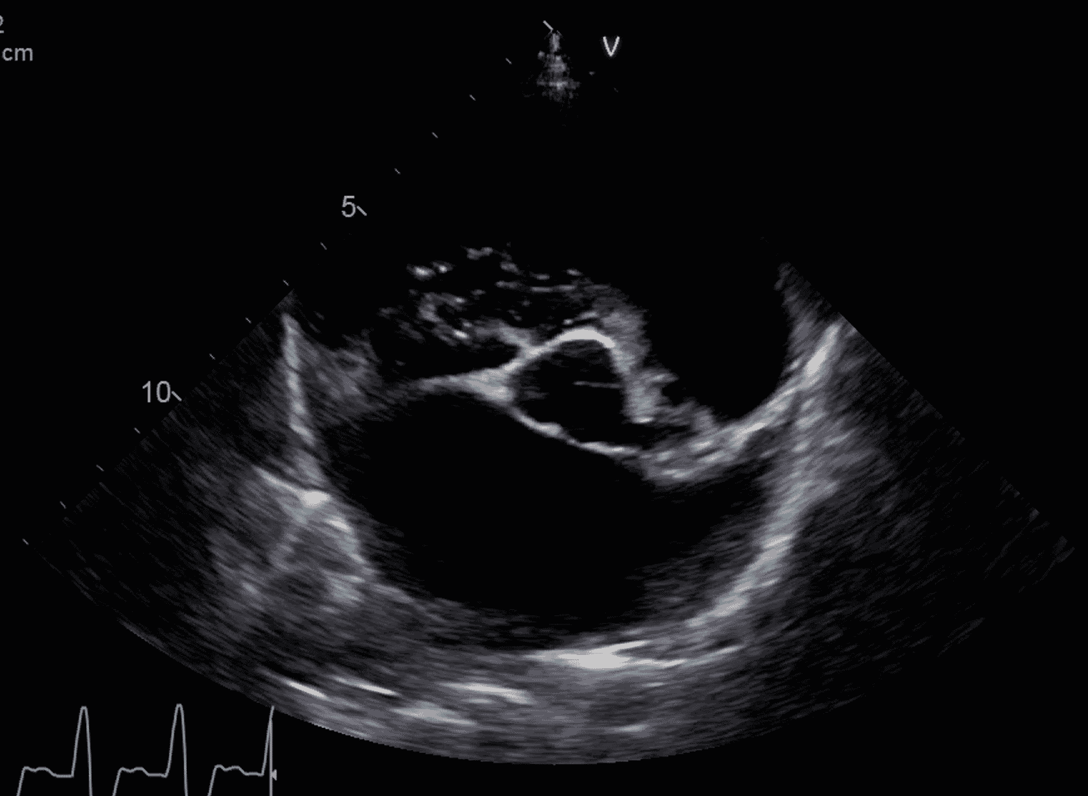
Here, we will be focusing on acute left-sided heart failure, caused by mitral valve disease (MVD) or dilated cardiomyopathy (DCM) ( Figures 1 and 2). In dogs, these make up probably 95 percent of the cases of heart failure identified in primary care practice, with the remaining being caused by arrhythmogenic right ventricular cardiomyopathy (especially in Boxers and Bulldogs), arrhythmia-induced heart failure (relatively common in working breeds) or congenital heart diseases such as patent ductus arteriosus (almost exclusively puppies of predisposed breeds).
Treatment of acute heart failure in most dogs centres around cage rest, sedation (butorphanol 0.2 to 0.4mg/ kg IV or IM), oxygen therapy and boluses of furosemide (1 to 2mg/kg IV, IM as required, transition to 2mg/kg q12h PO) and pimobendan (0.15mg/kg IV or 0.25 to 0.3mg/kg q12h PO). Most cases will respond well to this, but for this article we will focus only on dogs which do not respond to standard therapy, or those who are so sick that we believe they may not survive long enough (or are suffering so much with severe dyspnoea) for the standard treatment to work.
Treatment of heart failure: beyond oxygen, sedation, cage rest and furosemide
Using a furosemide constant rate infusion
Although most centres do not use a furosemide constant rate infusion (CRI) first-line, it is a good option for cases where multiple boluses of furosemide have seemed ineffective, or even for circumstances where we wish to control the diuretic dose (either not have enthusiastic colleagues cause dehydration overnight, or not have doses missed if the ward team is very busy). The literature suggests that a furosemide CRI produces similar diuresis to intermittent boluses in dogs, but it may avoid peaks and troughs in intravascular volume which has been associated with a greater risk of renal injury in humans ( Figure 3).
Ingredients (the mix creates a 2.4% hypertonic saline solution containing 2.2mg/ml furosemide): furosemide 50mg/ml solution); hypertonic saline (7.5%); and 5% glucose saline (D5W).
- Calculate the volume of furosemide solution to obtain 3.3mg/kg – this will be administered over five hours (so, if you want to set up 15 hours to run overnight, mix up three times this)
- Draw up 0.5ml/kg hypertonic saline
- Draw up 1ml/kg D5W
- Mix these solutions well and label the resultant big syringe clearly
- Our target dose to begin with is 0.66mg/kg/hr (using this 2.2mg/ml solution)
- For example – a 7.6kg dog would need 7.6 x 0.66 = 5mg/hr, so run at 2.3ml/hr CRI
Reducing mitral regurgitation severity
The aim of treating a dog with MVD intensively is to reduce left atrial pressure, and therefore reduce pulmonary vascular pressures and reduce the drive to produce more pulmonary oedema. If parenteral diuretic therapy is not successful, either as boluses or as a continuous rate infusion, then the next best way of achieving this is to increase forward flow (thereby reducing the severity of mitral regurgitation). To do this, systemic vascular resistance should be decreased to reduce afterload. Pimobendan is an arteriodilator, so should have already provided us with some assistance in this department, but if the patient is not responding then there is still more that we can do.
Sodium nitroprusside (SNP) is the first-choice drug for reducing afterload, due to how easy and quick it is to titrate to effect. SNP poses a couple of challenges for use, but neither should prevent clinicians reaching for it in suitable patients. First, SNP is light responsive and therefore the syringe and lines must be kept shielded in foil or opaque bandage material. Second, after 24 hours of use, the drug begins to exceed the initial metabolism pathways and secondary formation of cyanide occurs. Therefore, SNP use is a short-term fix which allows dogs to adapt to high left atrial pressure by stretching the atrium to accommodate, or increasing pulmonary lymphatic uptake (at which dogs are very good; they can increase baseline pulmonary lymphatic uptake by 20- to 50-fold!). SNP should be set up in a syringe driver, diluted as advised with 5% dextrose saline (D5W) and protected from light. An IV continuous rate infusion should be initiated at 1mcg/kg/min and systolic blood pressure checked after three to five minutes using an indirect Doppler method.
The target is a blood pressure of 80mmHg or a significant reduction in respiratory rate (whichever happens first). If BP is greater than 100mmHg, the rate should be increased to 2mcg/kg/min and BP checked again within five minutes. In this way, we aim to reduce left atrial pressure in a controlled manner. Placing an arterial catheter will facilitate monitoring without repeatedly opening the oxygen kennel to measure indirect blood pressure ( Figure 4) but presents a more technical challenge up front. After 24h (or before if required), SNP rate should be weaned by 30 to 50 percent of dose rate for one to two hours, then reduced again in a similar manner so that the drug may be discontinued in four to six hours.
In the absence of SNP availability, an oral anti-hypertensive drug such as amlodipine or hydralazine may be used. Hydralazine is very potent and should not be used in combination with other drugs such as ACE-inhibitors, as detrimental hypotension may occur. Amlodipine is a fair choice, as it does not tend to cause severe hypotension if used alone at therapeutic doses, but it is worth remembering that it will not be possible to titrate the dose to effect or to stop the drug, as can be done with SNP. In patients with a lack of improvement on SNP, dobutamine can be used in addition to improve cardiac output (see below) but may not add much value to SNP alone and can promote ventricular arrhythmias.
The dog with DCM and persistent pulmonary oedema
Dilated cardiomyopathy causes poor output in combination with pulmonary oedema. Mitral regurgitation may or may not be present, but the most important factor impeding this dog’s recovery is poor systolic function and therefore low cardiac output. Some clinicians express concerns about administering diuretic drugs to patients with hypotension and pulmonary oedema, fearing renal injury or worsening of hypoperfusion. However, increased preload (blood volume) in dogs with severe systolic dysfunction can itself reduce cardiac output. If preload is reduced with furosemide, output should increase (or at least not reduce significantly) in DCM ( Figure 5). Some heart diseases, such as mitral stenosis, are relatively preload dependent, so dogs with this problem (rare outside of the English Bull Terrier) should receive more cautious diuretic doses.
Monitoring and end-points
Intensive diuretics will obviously lead to an increase in urine output, and SNP may contribute to renal injury if hypotension were to pass unnoticed. High-level nursing care is essential to ensure patient welfare and close monitoring of response to therapy is vital. A gradual reduction in respiratory rate and effort should be observed, with a target respiratory rate below 40 breaths/minute. Where response is positive, dogs may be moved out of oxygen and on to room air, then infusions weaned gradually over a few hours to see if clinical stability is maintained. After 36 to 48 hours, dogs on SNP may develop cyanide toxicity owing to drug metabolism. So, at 24 hours into treatment, the patient should be weaned from this drug, or – if no significant improvement is identified – a frank conversation about euthanasia should be held with their owners.
Dobutamine has a diminished effect after 24 hours because of down-regulation of myocardial beta-receptors, so this also cannot be usefully continued beyond one day of treatment. If a response is not seen, or alternatively if clinical signs recur as therapy is discontinued, then heart failure may simply be too severe to successfully treat, despite our best efforts.
Summary
With a few precautions, such as ECG and blood pressure monitoring, and a high standard of nursing care ( Figure 6), treating acute heart failure has a high success rate and requires little specialist equipment to instigate. Embarking on cases like this requires open and honest communication with owners, in order to manage expectations of recovery up-front. In our clinic, we estimate a 75 percent recovery rate from intensive treatments such as these. However, that means that 1 in 4 dogs where treatment is attempted may not survive. Where response is positive, managing heart failure in dogs using intensive methods can be incredibly rewarding and affected animals can come back from the brink of disaster with our help.
Kieran Borgeat, BSc, BVSc, MVetMed, CertVC, FHEA, MRCVS, DipACVIM, DipECVIM-CA (Cardiology), is a Board-certified veterinary cardiologist and interventionalist. He is currently clinical lead in cardiology at Langford Vets and juggles a 90 percent clinical caseload with teaching and research.
