Sterile pyogranulomatous/granulomatous dermatitis is also referred to as juvenile cellulitis, puppy strangles and juvenile pyoderma. This is an uncommon disease affecting young puppies, ranging in age from three weeks to three months, and in some cases several puppies in the litter may be affected. It may sporadically occur in both young and older dogs, and a recent retrospective analysis of biopsies submitted to a teaching hospital between 2004 and 2018 found histopathological changes consistent with sterile granulomatous dermatitis and lymphadenitis in 90 adult dogs (Inga et al., 2019). The disease is reported in many breeds of dogs, including crossbred dogs; however, some breeds such as the Golden Retriever, Labrador, Gordon Setter, Lhasa Apso and Dachshund appear to be predisposed to it (Miller et al., 2013). There is no sex predilection.
The aetiology is not known, but an immunological disorder is suspected, because it responds to immunosuppressive treatment and extensive investigations into infectious causes are unrewarding. Individual case reports of hypertrophic osteodystrophy (Wentzell, 2011) and hindlimb paresis and neurological signs (Park et al., 2010) exist, but links with sterile granulomatous dermatitis were not established.
Clinical signs and diagnosis
Affected puppies usually present with a history of acute symmetrical facial swelling, involving the eyelids, lips, muzzle and pinnae and have marked submandibular lymphadenopathy. Some puppies are pyrexic and may also have swollen and painful joints. These signs are also reported in older dogs. Lesion distribution in adult dogs is as seen in puppies, but lesions on the trunk, limbs and perianal and genital areas can be noted in a few dogs (Inga et al., 2019). The cutaneous lesions develop rapidly, sometimes within 24 to 48 hours, and consist of erythema, oedema, papules, nodules, pustules and vesicles. The pinnae are oedematous and purulent lesions are often seen on the concave aspects of the pinnae. The lip margins become swollen ( Figure 1A). The lesions rapidly coalesce and, when the pustules and vesicles rupture, the surface becomes covered in purulent exudate and thick crusts. Some lesions fistulate and ulcerate ( Figure 1B).
The main differential diagnoses include bacterial and fungal infections, demodicosis and, in older dogs, neoplastic skin diseases.
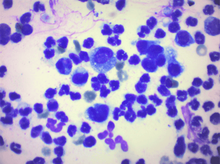
The clinical features in puppies together with cytological findings of neutrophils and macrophages, some with vacuolar changes in the absence of bacteria ( Figure 2), support the diagnosis. Histopathological findings of granulomas and pyogranulomas with large epithelioid macrophages and neutrophils, in the absence of infectious agents, confirm the diagnosis (Gross et al., 2005). Pyogranulomas oriented around the hair follicles, which sometimes mask the sebaceous glands, are noted in some sections. In some cases, the inflammation may extend into the subcutaneous tissue. Special stains such as Ziehl–Neelsen and periodic acid–Schiff are useful, especially in older dogs, to rule out bacterial and fungal agents in the biopsies.
Treatment
The first-line treatment is prednisolone. A dose of 1 to 2mg/kg q24h for seven days with a reduction to half the dose for a further 14 to 21 days is usually sufficient to resolve the lesions ( Figure 3). Delay in treatment, especially in puppies with severe disease, may lead to scarring. Treatment with ciclosporin at 5mg/kg, a combination of nicotinamide/doxycycline, vitamin E and mycophenolate mofetil have all been reported (Park et al., 2010; Miller et al., 2013; Inga et al., 2019). On a practical note, drugs such as ciclosporin, nicotinamide/doxycycline and mycophenolate mofetil generally have a lag phase of four weeks before improvement is seen. In comparison, prednisolone is fast acting and improvement is generally seen within days, thus reducing the risk of scarring.
The prognosis is good and complete resolution is seen in most affected animals within a few weeks.
Conclusion
In summary, this condition has classical clinical signs in puppies and is easy to recognise, but may have variable signs in adult dogs. It should be included as a differential diagnosis in adult dogs presenting with pyogranulomatous to granulomatous dermatitis, in the absence of infectious organisms. Treatment with immunosuppressive glucocorticoids successfully resolves the clinical signs in the majority of cases, but other immunomodulating agents can be considered if there is poor response to glucocorticoids, or if there are unacceptable adverse effects to them.
References (click to expand)
| Gross, T. L., Ihrke, P. J., Walder, E. J. and Affolter, V. K. | 2005 | Skin Diseases of the Dog and Cat, 2nd ed. Blackwell Science Ltd, Oxford, UK, pp.327-329 |
| Inga, A., Griffeth, G. C., Drobatz, K. J., Goldschmidt, K. H. and Mauldin, E. A. | 2019 | Sterile granulomatous dermatitis and lymphadenitis (juvenile cellulitis) in adult dogs: a retrospective analysis of 90 cases (2004–2018). Veterinary Dermatology, 31, 219 |
| Miller, W. H., Griffin, C. E. and Campbell, K. L. | 2013 | Muller & Kirk’s Small Animal Dermatology, 7th ed. Elsevier, MO, pp.708-709 |
| Park, C., Yoo, J.-H., Kim, H.-J., Kang, B.-T. and Park, H.-M. | 2010 | Combination of cyclosporin A and prednisolone for juvenile cellulitis concurrent with hindlimb paresis in 3 English cocker spaniel puppies. The Canadian Veterinary Journal, 51, 1265-1268 |
| Wentzell, M. L. | 2011 | Hypertrophic osteodystrophy preceding canine juvenile cellulitis in an Australian shepherd puppy. The Canadian Veterinary Journal, 52, 431-434 |
