Bladder disease is very amenable to the use of imaging for investigation. Indications for investigation include dysuria, pollakiuria, intermittent or persistent chronic haematuria, incontinence issues, trauma, recurrent infections and palpable caudal abdominal masses.
Techniques that can be used include:
- Ultrasonography
- Radiography – plain, pneumocystography, positive contrast and double contrast cystography
- Advanced imaging techniques – CT, MRI, scintigraphy (not covered by the scope of this article)
Ultrasonography
Ultrasound is the most commonly used imaging method for studying urinary tract disorders in dogs as it is easy to perform, is inexpensive and provides excellent contrast resolution in real time (Robotti and Lanfranchi, 2013).
It has the advantage of being non-invasive and often does not require chemical restraint. However, restraint may be needed depending on the positioning required, if pain might be caused to the animal or if its temperament dictates. The benefits of performing the examination under sedation/anaesthesia should be weighed up against the risk and cost involved (Robotti and Lanfranchi, 2013).
Good images can be obtained with good technique and awareness of important artefacts.
Radiography
Plain and contrast radiography usually require general anaesthesia (Barrett, 2011) and in the latter catheterisation is required. Most veterinarians are comfortable with the use of radiography to obtain images. The entire abdomen can be imaged and may be the best choice when symptoms are non-specific and any lesion site is unclear (Ackerman, 2002).
Radiography and ultrasound are complementary techniques, and when combined they often provide a definitive diagnosis (Robotti and Lanfranchi, 2013; Table 1).
| Plain Radiography | Contrast Radiography | Ultrasound | |
|---|---|---|---|
| General imaging | Good; bladder shape and size, radiopaque calculi visible | As plain; allows urethral visualisation and information on bladder lumen | Excellent for bladder but bony pelvis limits imaging of pelvic urethra |
| Bladder wall | Poor; often unable to identify bladder wall masses | Excellent for luminal mucosal detail (double contrast), can assess bladder wall thickness. Able to identify mural masses | Excellent for bladder wall imaging, can identify layering. Easy to identify mural lesions. Can get artefactual thickening if bladder empty |
| Calculi | Good for radiopaque calculi size and shape. Small and radiolucent calculi not visible | Good for radiopaque and radiolucent calculi size and shape. Small calculi can be obscured if too much contrast used | Excellent for calculi identification. Seen in dependent part of the bladder, usually will exhibit acoustic shadowing |
| Bladder wall/urethral rupture | Poor; unable to identify, may get loss of contrast in caudal abdomen | Excellent using positive contrast cystogram or urethrogram for urethral rupture | Poor; actual defect rarely seen, will be able to identify free abdominal fluid easily |
| Ectopic ureters | Poor; will not be able to recognise unless dilated ureters visible | Limited; IVU may allow diagnosis; however, visibility is not always guaranteed | Good in experienced hands |
| Obtaining diagnostic samples | Does not allow guidance for sample collection | Does not allow guidance for sample collection | Excellent for cystocentesis sample collection. Catheterisation is usually |
Patient preparation
Ideally the patient should be restrained either chemically (sedation/general anaesthesia) or by an assistant (for ultrasound). This is dependent on the patient’s temperament and the technique being used. For optimal imaging, the patient’s bowels should be emptied prior to the procedure, or an enema given to prevent any faecal material overlying the area of interest. The bladder should be moderately full. If it is empty the procedure should be postponed. Alternatively intravenous furosemide can be used to stimulate bladder filling, but this is not ideal.
A high proportion of cases will have an ultrasound first followed by plain and contrast radiography as indicated. As for any ultrasound examination, the patient must be clipped and cleaned for optimal imaging.
Protocol
Ultrasound
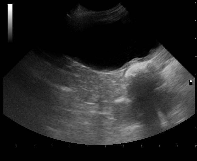
The entire bladder should be examined in longitudinal and transverse planes using a medium to high frequency transducer (greater than 7.5MHz), extending as far caudally as possible to examine the bladder neck. The bladder wall should be assessed systematically followed by the lumen (Figure 1). Ultrasonography should precede cystography.
Radiography
Plain lateral and ventrodorsal survey films should be taken, followed by bladder catheterisation and drainage (Figure 2).
Pneumocystography is carried out in left lateral recumbency (Thrall, 1998; Dennis et al., 2001) to reduce the risk of air emboli in the lungs (Figure 3). Inflate the bladder with air until it feels turgid by abdominal palpation.
Positive contrast cystography is carried out by inflating the bladder slowly with iodinated positive contrast medium which is best diluted to 100 to 150mg/ml to avoid bladder wall irritation (Dennis et al., 2001; Figure 4).

Double contrast cystography
Double contrast cystography (Figure 5) is carried out by instilling positive contrast (5 to 20ml) into the bladder. The patient can be rolled or ballotted to allow coating of the bladder wall. The bladder is then instilled with air until turgid on palpation.
Lateral and ventrodorsal views should be taken at each stage.
Common findings
Bladder wall
The bladder wall thickness should be assessed fully. The far wall is usually most useful for this in ultrasounds. The mean bladder wall thickness is 2.3mm (in minimally distended bladders) to 1.4mm (in moderately distended bladders) in the dog (Geisse et al., 1997) and 1.3 to 1.7mm in the cat (Finn-Bodner, 1995).
Chronic cystitis usually produces wall thickening which is most pronounced cranioventrally, but in severe cases it can be generalised (Nyland et al., 2002).
Polypoid cystitis appears ultrasonographically as wall thickening with irregular multiple small masses that project into the urinary bladder lumen (Huynh and Berry, 2016). If large, they can appear pedunculated. They are typically seen in the cranioventral and craniodorsal bladder. Biopsy is required to differentiate between neoplastic and non-neoplastic lesions (Barrett, 2011; Figure 6).
Emphysematous cystitis is caused by gas-producing organisms such as E. coli, Proteus
and clostridia. This may be visible on double contrast cystography as diffuse bladder wall thickening with streaks of gas lucency visible in the bladder wall and on ultrasound as an irregularly marginated bladder wall with reverberation and acoustic shadowing caused by the gas (Huynh and Berry, 2016).
Most mural masses are malignant tumours, but benign masses, polyps and adherent blood clots can also occur.
Transitional cell carcinoma is the most commonly diagnosed bladder tumour in the dog (Barrett, 2011). They are usually identified at the bladder neck as an attached filling defect of varying size using double contrast cystography (Thrall, 1998) or as a broad-based irregular mass of varying echogenicity on ultrasound. They are usually hypoechoic to the wall and they can also be multiple or pedunculate (Leveille et al., 1992; Figure 7).
Using radiography, care should be taken that pseudo-filling defects are not mistaken for neoplasia that can be caused by inadequate bladder distension. Further bladder distension will correct this (Thrall, 1998).
Intraluminal material
The bladder disease that most commonly affects dogs is urolithiasis (Barrett, 2011). Radiopaque calculi are easily visualised using radiography (Figure 8) or as radiolucent filling defects when surrounded by positive contrast (Thrall, 1998), usually in the centre of the contrast puddle.
Radiopaque and radiolucent calculi appear as multiple or individual focal hyperechoic formations with distal acoustic shadowing on ultrasound (Nyland et al., 2002). They move within the bladder lumen due to gravity and may be associated with bladder wall thickening (Osborne et al., 2009). Radiographs are more accurate to predict stone size, as ultrasound can overestimate the size by up to 68 percent (Byl et al., 2010).
Other intraluminal material includes sediment (Figure 9), recognised as multiple small echogenic foci within the lumen, often in the dependent segment of the bladder on ultrasound. Sediment can be identified by ballotting the bladder and observing a swirling cloud of material (Barrett, 2011).
Blood clots and haemorrhage may arise from the bladder itself, but can also come from the ureters and kidneys. It can occur secondary to trauma, coagulopathy, infection or neoplasia (Barrett, 2011; Huynh and Berry, 2016). Haemorrhage can be seen on ultrasound as multiple small echoes swirling within the lumen or settled in the dependent portion of the bladder. It can be difficult to differentiate from sediment. Blood clots are commonly hyperechoic without distal acoustic shadowing, irregularly shaped and often gravity dependent.
Foreign bodies are occasionally visible within the bladder. They may be seen as filling defects on double contrast radiography. Contrast extravasation may occur if the bladder wall has been compromised (Thrall, 1998). Urinary catheters are easily recognised on ultrasound as parallel echogenic lines within the bladder lumen (Barrett, 2011).
Summary
Radiography and ultrasound are complementary techniques for examining the bladder, and when combined a definitive diagnosis can often be reached. Full examination of the bladder and associated structures should be undertaken. Several common conditions can be easily identified, as well as more complex and less frequent conditions which are not covered within the scope of this article.
