In the second instalment of this series discussing common congenital cardiac defects in dogs, we will look at the clinical signs, diagnostic evaluation and treatment options for the final three conditions: patent ductus arteriosus, ventricular septal defects and subaortic stenosis.
The first instalment, covering pulmonic stenosis and atrial septal defects, can be found here.
Patent ductus arteriosus
Prevalence and predisposition
Patent ductus arteriosus (PDA) is one of the most common congenital heart defects in dogs, accounting for approximately 10 to 30 percent of all cases of congenital heart disease (Buchanan and Patterson, 2003; Schrope, 2015). Certain breeds, such as the Maltese, Poodle and German Shepherd, exhibit a higher predisposition to this condition (Buchanan and Patterson, 2003).
Pathophysiology
In normal foetal circulation, the ductus arteriosus diverts a significant portion of the right ventricular output away from the non-functioning foetal lungs by shunting blood from the pulmonary artery directly into the aorta. This foetal shunt is maintained by high circulating levels of prostaglandin E2 (PGE2) and prostaglandin I2 (PGI2), which promote ductal patency by relaxing the smooth muscle in the ductal wall and inhibiting its contractile properties.
After birth, a series of physiological events, including the abrupt decrease in pulmonary vascular resistance, oxygenation of the blood and removal of the placental source of prostaglandins, trigger the closure of the ductus arteriosus. Closure is initiated by constriction of the smooth muscle in the ductal wall, followed by the proliferation of fibrous tissue and subsequent occlusion of the lumen. It can take up to one month to fully close and form the so-called “ligamentumarteriosum”.
In canine patients with PDA, the process of ductal closure fails to occur, leading, in most patients, to left-to-right shunting that causes left-sided volume overload. In rare cases (around 1/5 percent), the shunt can reverse, leading to right-to-left flow; this is due to severe pulmonary hypertension (PHT) (Buchanan et al., 1999).
Depending on the degree of smooth muscle failure, we recognise four types of PDA (Figure 1): I, IIa, IIb and III (Miller et al., 2006). German Shepherds are commonly affected by type III – tubular (Wesselowski et al., 2019).
Clinical signs
Clinical signs of left-to-right PDA vary depending on the size of the shunt and the degree of left-sided heart enlargement. This can lead to congestive heart failure (CHF) and the typical signs associated with it, including exercise intolerance, dyspnoea and an increased sleeping respiratory rate.
Dogs with right-to-left PDA also tend to show exercise intolerance, hindlimb collapse or signs of right-sided CHF due to severe PHT. Moreover, chronic hypoxia leads to the production of erythropoietin, which causes erythrocytosis. They can also show a typical differential cyanosis in which cyanosis is only present in the caudal mucous membranes (rectal/vaginal). This is due to the location of the PDA, which is usually caudal to the brachiocephalic trunk and left subclavian artery, allowing these vessels to deliver more oxygen-rich blood to the cranial part of the body.
Diagnostic evaluation
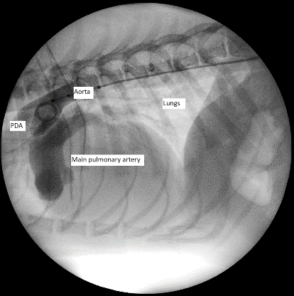
In addition to echocardiography, diagnostic evaluation could include thoracic radiography and haematology analysis. Thoracic radiography may reveal evidence of left atrial and left ventricular enlargement, as well as pulmonary over-circulation or signs of left-sided CHF (such as pulmonary oedema). Moreover, a typical “triple bulge” can be noted on a dorsoventral radiograph, representing the dilated aorta, main pulmonary artery and left atrial appendage. Haematology might show erythrocytosis if the shunt is right-to-left.
Echocardiographic findings
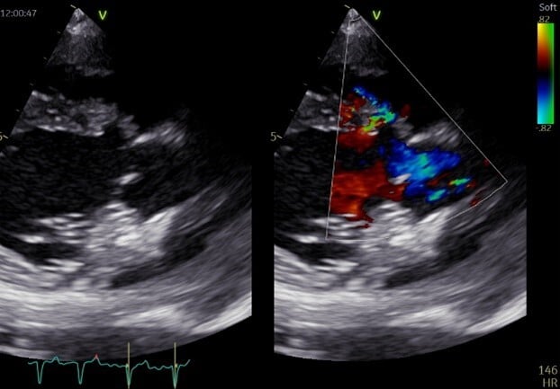
Echocardiographic visualisation of the PDA is the most common diagnostic tool (Figure 2).
In dogs with left-to-right PDA, the defect can be indirectly appreciated by the presence of a continuous turbulent flow in the main pulmonary artery. Secondary changes linked to left-to-right PDA include left atrial and ventricular dilation with or without mitral regurgitation and possible signs of left-sided CHF. The systolic function of the left ventricle is usually preserved, and the pulmonary arteries are dilated. Pulmonic insufficiency is also common. Measurements of the ostium and the ampulla are often required to plan surgical procedures.
In dogs with right-to-left PDA, right-sided enlargement and hypertrophy are often found because of PHT. Right-sided heart failure may show with pericardial, pleural or abdominal effusion. The PDA is usually difficult to visualise as there is no continuous flow in the main pulmonary artery (as happens in left-to-right). This is due to the reduced pressure gradient leading to low velocities. For this reason, dogs with right-to-left PDA do not present with a murmur. However, a bubble study, which involves the injection of agitated saline solution in a cephalic vein, would show bubbles in the descending aorta (due to the shunting of blood away from the lungs that normally reabsorb them).
Medical or surgical therapy
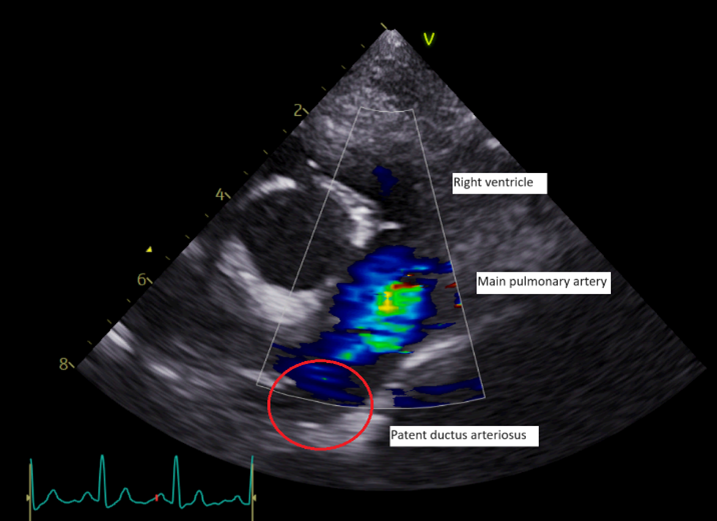
There is no proven benefit of any medical therapy for asymptomatic dogs with left-to-right PDA. If CHF is present, routine therapy should be started. Surgical closure of the PDA is considered the treatment of choice (Figure 3). This can be achieved via thoracotomy or minimally invasive techniques, such as transarterial occlusion with devices like the Amplatz Canine Duct Occluder (ACDO) (Figure 4) or Amplatzer Vascular Plug (AVP).
In dogs with right-to-left PDA, PDA occlusion is not recommended as it could worsen PHT. Medical therapy to improve PHT includes sildenafil. Erythrocytosis can be managed either with regular phlebotomies (Côté and Ettinger, 2001) or with bone marrow suppressants such as hydroxyurea (Moore and Stepien, 2001).
Prognosis
The prognosis for patients undergoing PDA closure is generally favourable, with reported survival rates exceeding 90 to 99 percent in many studies (Ranganathan et al., 2018). Dogs with CHF, mitral regurgitation and concurrent congenital heart defects have a worse survival rate. However, the median survival time for those undergoing occlusion without other congenital defects approaches 12 years (Saunders et al., 2014). Those not undergoing PDA closure have a poor outcome with a survival of two years as they develop CHF (Saunders et al., 2014).
Close monitoring and lifelong cardiac management are essential to optimise the long-term prognosis of canine patients with PDA.
Conclusion
Patent ductus arteriosus is among the most common congenital cardiac diseases in dogs. Recognition of findings and clinical signs as well as the echocardiographic findings can help the clinician to act quickly, allowing the best outcome for patients with PDA.
Recognition of findings and clinical signs as well as the echocardiographic findings can help the clinician to act quickly, allowing the best outcome for patients with patent ductus arteriosus
Ventricular septal defects
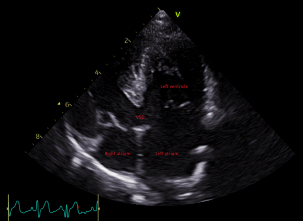
Ventricular septal defects (VSD) (Figure 5) result from the incomplete closure of the interventricular septum, the wall that divides the right and left ventricles.
Prevalence
The prevalence of VSD is around 14 percent of all congenital heart disease; it is reported to be the fourth most common congenital defect in dogs (Schrope, 2015). This defect is often associated with other congenital defects as often happens in congenital cardiac diseases.
Pathophysiology
Ventricular septal defects are defined by their localisation, and there are various classifications. Among those suggested, they can be differentiated between perimembranous, muscular, supracristal and inlet defects.
Perimembranous defects are localised below the aortic valve, shunting blood below the tricuspid valve; these are the most common type of VSD. Muscular defects are located in the more muscular apical region of the septum but are rare. Supracristal VSDs are just below the pulmonic valve, often leading to aortic insufficiency. Inlet defects are located below the mitral and tricuspid valves and are considered a type of endocardial cushion defect.
The size, location and amount of shunted blood determines the severity of a VSD. Normally, blood shunts left to right. In a small defect, also called a “restrictive” defect, the amount of shunted blood is minimal and does not cause major haemodynamic changes.
Large VSDs are those with a surface area similar to or larger than the aortic valve. They shunt large amounts of blood, leading to pulmonary hypertension and left heart volume overload. The degree of pulmonary resistance also determines how much blood is shunted. In a dog with severe pulmonary hypertension, the velocity across the VSD will be lower (or a “reverse” right-to-left shunt will develop).
Ventricular septal defects often lead to aortic insufficiency due to a lack of support to the valve structure; this can worsen the left-sided volume overload.
Ventricular septal defects often lead to aortic insufficiency due to a lack of support to the valve structure; this can worsen the left-sided volume overload
In cases with severe PHT, such as congenital pulmonary vasculature disease or secondary to over-circulation and left-sided CHF, a right-to-left shunt can occur, leading to a cyanotic disease (Eisenmenger’s complex).
Clinical signs
Findings on clinical examination of dogs with small left-to-right VSDs include a loud systolic murmur. If present, aortic insufficiency can also produce a diastolic murmur. The smaller the defect, the louder the murmur.
In the case of left-to-right shunts, dogs with small VSDs are often asymptomatic. Those with larger defects can show signs of left-sided CHF, including dyspnoea, an increased sleeping respiratory rate (over 30bpm) and exercise intolerance.
If a right-to-left shunt occurs secondary to severe PHT, it can lead to Eisenmenger’s complex: a large VSD with right-to-left shunting. Severe PHT is the consequence of chronic pulmonary overflow and secondary pulmonary vasculature changes. This is a cyanotic disease that usually leads to erythrocytosis and various clinical signs, including dyspnoea, seizures and exercise intolerance.
Diagnostic evaluation
For small left-to-right VSDs, radiographic changes are minimal. In cases of moderate to large defects, left-sided heart enlargement or signs of left-sided CHF are possible.
For right-to-left defects, haematology might show erythrocytosis. Arterial blood gas analysis would confirm hypoxaemia.
Echocardiographic findings
On echocardiography, a large defect can be visualised as an anechoic region of the interventricular septum, whereas small defects can be challenging to appreciate using a two-dimensional view. Perimembranous defects are best seen on a right parasternal four- and five-chamber view. A right parasternal short-axis view at the base of the heart often shows turbulent flow on the margin of the aortic structures.
Colour Doppler is often required to detect small defects (Figure 6). This technique highlights the turbulent flow across the defect. Spectral Doppler helps our understanding of flow velocities and the presence of PHT.
Secondary changes include left atrial and ventricular enlargement, aortic insufficiency or signs of PHT in cases of right-to-left shunts (with pulmonary artery dilation and right ventricular hypertrophy).
Medical or surgical therapy
While small, restrictive defects often do not require any treatment, medical therapy of left-to-right VSDs is limited to the management of CHF using diuretics.
For right-to-left VSDs, phlebotomies or bone marrow suppressants are indicated. This is also true for reversed PDAs or any cyanotic cardiovascular disease that leads to Eisenmenger’s syndrome.
Surgical closure via open-heart surgery (Shimizu et al., 2006) or minimally invasive surgery using occluding devices (Bussadori et al., 2007) has been reported for dogs with moderate to large defects. Surgical closure is not recommended for right-to-left defects as this could worsen the PHT and clinical signs.
Pulmonary artery banding can be considered to reduce the pulmonary flow for dogs with moderate-size VSDs.
Prognosis
For small, left-to-right VSDs that do not lead to significant haemodynamic changes, dogs are often asymptomatic with no long-term consequences. Some small VSDs can close spontaneously with time, although this is rare. Moderate-size VSDs lead to left-sided volume overload and left-sided CHF. This can then progress to pulmonary hypertension and right-sided CHF. Dogs with large VSDs often die within the first few weeks of life. Right-to-left defects carry a poor prognosis.
Patients that undergo a successful closure of their VSD can have a very good outcome depending on the degree of cardiac remodelling present at the time of surgery and the presence of CHF.
Conclusion
Dogs with VSDs can have a variety of clinical signs and differing prognoses depending on the size, location and presence of other concurrent congenital defects. Prompt echocardiographic assessment of patients with a heart murmur helps establish a diagnosis.
Dogs with ventricular septal defects can have a variety of clinical signs and differing prognoses depending on the size, location and presence of other concurrent congenital defects
Subaortic stenosis
Subaortic stenosis (SAS) is the most common form of aortic stenosis reported in dogs.
Prevalence
The prevalence of SAS varies depending on the source and geographical area, but is reported to be 15 to 20 percent (Oliveira et al., 2011; Schrope, 2015). It is suspected to be inherited in Newfoundlands, and there is a suspected genetic basis in Boxers, Dogues de Bordeaux and Golden Retrievers (Bussadori et al., 2001; Ontiveros and Stern, 2021; Reist‐Marti et al., 2012).
Pathophysiology
The embryological origin of SAS is controversial but seems to be linked to the presence of persistent embryological endocardial tissue with chondrogenic properties.
Different grades have been proposed, ranging from small nodules beneath the aortic valve cusps to a fibrous lump at the level of the left ventricular outflow tract. This leads to a narrow outflow tract that increases ventricular work and aortic flow velocity. SAS often worsens over the first six months of life. For this reason, echocardiographic screening is usually performed in fully grown dogs.
The embryological origin of subaortic stenosis is controversial but seems to be linked to the presence of persistent embryological endocardial tissue with chondrogenic properties
Depending on the degree of narrowing, the left ventricular systolic pressure can be mildly or severely increased. In the latter case, SAS leads to ventricular hypertrophy and post-stenotic dilation.
Clinical signs
Dogs with SAS usually have a left basilar systolic murmur, the intensity of which can reflect disease severity (Caivano et al., 2018). With SAS, the femoral pulse can be hypokinetic. The defect can also cause exercise intolerance, exertional syncope and sudden death. Arrhythmias can also be present secondary to left ventricular hypoxia. Left-sided CHF can occur with the classic signs reported above.
Although rare, dogs with SAS are more likely to develop infective endocarditis due to the damage to the cusps from the turbulent flow.
Diagnostic evaluation
Depending on disease severity, thoracic radiographs can show cardiomegaly and the dilation of the aortic arch secondary to post-stenotic dilation. Signs of left-sided CHF are possible. Electrocardiography features consist of tall R waves and possible ventricular arrhythmias.
Echocardiographic findings
Typical echocardiographic signs include the presence of a ridge of hyperechoic tissue in the left outflow tract, below the aortic valve, in association with turbulent flow on colour Doppler. This can be appreciated from a right parasternal long-axis five-chamber view. Subcostal views should be used to measure aortic velocity for the best alignment to flow. In normal dogs, aortic velocities are under 2m/s. The grading of its severity is akin to the one used for pulmonic stenosis and is based on pressure gradient across the valve, with severe disease having gradients over 80mmHg. Secondary left ventricular hypertrophy is also a common finding (Bussadori et al., 2000).
Medical or surgical therapy
Medical therapy for dogs with SAS and no signs of CHF includes the use of beta-blockers, such as atenolol (at around 1mg/kg twice daily). This is used empirically to increase diastolic time, which, in turn, improves coronary perfusion of the hypertrophic myocardium and reduces the risk of sudden cardiac death. However, atenolol has not been proven to improve the survival time in dogs with severe SAS (Eason et al., 2014).
Medical management of left-sided CHF, if present, would include diuretics as usual, although this is a rare presentation.
Surgical management of SAS is complicated. Balloon dilation with or without the use of cutting balloons has been attempted with questionable long-term results due to the recurrence of stenotic disease and onset of aortic insufficiency (DeLellis et al., 1993; Kleman et al., 2012). Open-heart surgical resection of the lesion (myectomy) has been reported but with contrasting results (Hirao et al., 2004; Nelson et al., 2004; Orton et al., 2000).
Long-term management and outcome
Dogs with severe SAS often suffer from sudden cardiac death within the first three years of life (Kittleson and Kienle, 1998). There is discrepancy in the survival time of dogs with SAS, with some studies reporting a mean of 19 months (Kienle et al., 1994) and others of over 50 months (Kienle et al., 1994; Orton et al., 2000).
There is discrepancy in the survival time of dogs with subaortic stenosis, with some studies reporting a mean of 19 months and others of over 50 months
There has been no difference in survival reported in dogs undergoing surgical or medical therapy (Meurs et al., 2005).
Cardiology
ISVPS General Practitioner Certificate (GPCert)
HAU Postgraduate Certificate (PgC)
After graduating in 2015 from Italy, Mattia completed internships at the University of Liverpool and Lumbry Park Veterinary Specialists before working in a busy first opinion hospital in Hampshire. During this period, he completed a certificate in cardiology (CertAVP VC). In March 2022, Mattia became a boarded cardiologist at the European College of Veterinary Internal Medicine – Cardiology, and he joined ChesterGates Veterinary Specialists in April 2022. He also completed an MSc program in veterinary professional studies in July 2023. Mattia likes all aspects of veterinary cardiology with a particular interest in congenital diseases and interventional cardiology. Mattia is a co-founder of VetSpoke, a project that aims to bring veterinary specialists closer to vets and pet owners across Europe.
