A doença cardíaca adquirida em gatos é relativamente comum na prática clínica, afetando cerca de 15% da população felina (Payne et al., 2015). A doença cardíaca congénita (CHD), embora relevante, é mais rara. Existem poucos estudos populacionais amplos que relatem a prevalência de defeitos congénitos em gatos, mas as estimativas baseadas em populações de referência apontam para uma prevalência entre 0,13% e 0,2% da população felina (Schrope et al., 2015; Tidholm et al., 2015).
A CHD, definida como um defeito de desenvolvimento presente desde o nascimento, corresponde a uma malformação de uma ou mais áreas do coração ou dos grandes vasos, ou à persistência de uma estrutura fetal após o nascimento. Os defeitos do septo ventricular são os mais frequentemente descritos em gatos, seguidos da displasia da válvula mitral, da displasia da válvula tricúspide, da persistência do canal arterial e da estenose aórtica e pulmonar (Saunders, 2021; Ferasin et al.,2022; Tidholm et al., 2015).
Estes defeitos podem ser simples ou complexos, e os sinais clínicos variam consoante a gravidade e o número de anomalias presentes. Alguns gatos são assintomáticos, enquanto outros podem manifestar síncope, cianose ou insuficiência cardíaca.
Características da doença cardíaca congénita
A indicação mais comum de CHD é a deteção de um sopro cardíaco durante a primeira vacinação. Alguns sopros podem ser “inocentes”, puramente fisiológicos e sem anomalias estruturais, geralmente mais suaves (grau III ou inferior), de carácter sistólico e sem sinais clínicos associados. Contudo, a ausência de sinais não exclui a presença de doença cardíaca congénita. Estas, por sua vez, tendem a provocar sopros mais intensos (grau IV ou superior), de tipo diastólico ou contínuo, podendo estar associados a sons adicionais, como galope ou arritmia.
Os gatos são habitualmente diagnosticados em idade jovem, mas há registos de diagnósticos em animais adultos (Greet et al., 2021; Bascunan et al., 2017). Os sinais clínicos dependem da gravidade e complexidade da anomalia e, consequentemente, o tratamento também varia. Dado que as pressões intracardíacas são mais elevadas no lado esquerdo do coração, as doenças esquerdas podem originar sinais clínicos mesmo quando menos graves que as do lado direito.
A Tabela 1 apresenta as principais doenças cardíacas congénitas em gatos e os sinais clínicos mais frequentemente observados. Tal como em medicina humana, é possível que um gato apresente mais de um defeito congénito.
| Apresentação da doença | Defeito | Sinais clínicos |
| Assintomática | Defeito do septo ventricular (DSV) | Quanto mais pequeno o DSV, mais intenso o sopro cardíaco. O animal pode permanecer assintomático. |
| Doença do lado esquerdo | Displasia da válvula mitral Persistência do canal arterial (PCA) Estenose aórtica Cor triatriatum sinister |
Sopro cardíaco audível na base esquerda do coração. Intolerância ao exercício. Síncope. Arritmias. Insuficiência cardíaca congestiva esquerda: - Dificuldade respiratória - Edema pulmonar - Derrame pleural - Taquipneia |
| Doença do lado direito | Displasia da válvula tricúspide Estenose pulmonar Ventrículo direito com duas câmaras |
Sopro cardíaco audível na base direita do coração. Intolerância ao exercício. Síncope. Arritmias. Insuficiência cardíaca congestiva direita: - Dificuldade respiratória - Ascite - Derrame pleural - Taquipneia |
| Doença cianótica | Tetralogia de Fallot PCA com derivação reversa DSV com shunt da direita para a esquerda |
Intensidade e localização do sopro variáveis conforme o defeito e o fluxo de derivação. Intolerância ao exercício. Colapso. Policitemia. Cianose visível nas mucosas. |
TABELA 1 – Resumo das cardiopatias congénitas felinas mais comuns
Diagnóstico de cardiopatia congénita
O diagnóstico definitivo requer uma ecocardiografia completa, que permite avaliar a anatomia cardíaca, a direção e magnitude do shunt, a gravidade dos defeitos, o aumento de câmaras secundárias e o planeamento de uma eventual intervenção. Em casos complexos ou quando é necessária melhor visualização, podem ser utilizados exames complementares como ecocardiografia transesofágica, angiografia, tomografia computorizada ou ressonância magnética cardíaca.
Um eletrocardiograma pode ser útil para identificar arritmias, e a medição da pressão arterial ajuda a avaliar o débito cardíaco. Análises hematológicas e bioquímicas completas são recomendadas para excluir doenças concomitantes, e biomarcadores como o NT-proBNP podem ser úteis na avaliação cardíaca.
Defeito do septo ventricular
O defeito do septo ventricular (DSV) consiste na presença de uma abertura na parede do septo interventricular, geralmente na sua porção membranosa, logo abaixo da válvula aórtica. Devido às pressões superiores do ventrículo esquerdo, o sangue flui habitualmente da esquerda para a direita, originando o sopro característico. Paradoxalmente, defeitos menores produzem sopros mais intensos, enquanto defeitos maiores resultam em sopros mais suaves.

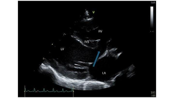
FIGURA 1 – Ecocardiografia de um defeito do septo ventricular. Onde se pode ver um defeito do septo interventricular (DSV) de grandes dimensões (seta), localizado imediatamente abaixo das válvulas atrioventriculares.
VE — ventrículo esquerdo; VD — ventrículo direito; AE — átrio esquerdo; SIV — septo interventricular.
Displasia das válvulas mitral e tricúspide
Embora os sinais clínicos difiram — a displasia da válvula mitral (MVD) afeta o lado esquerdo e a da válvula tricúspide (TVD) o lado direito —, as malformações estruturais são semelhantes. Podem incluir:
- Cordas tendinosas encurtadas e espessadas
- Inserção anómala do músculo papilar
- Fusão ou deslocação dos músculos papilares
- Malformação dos folhetos valvulares
- Estenose valvular
Devido às diferenças de pressão intracardíaca, a TVD tende a necessitar de ser mais grave para provocar sinais clínicos evidentes.
Persistência do canal arterial (PCA)
A PCA ocorre quando o canal arterial fetal não se fecha após o nascimento, permitindo o fluxo contínuo de sangue da aorta para a artéria pulmonar. Esta situação provoca sobrecarga de volume no coração esquerdo, podendo culminar em insuficiência cardíaca congestiva esquerda. Em cães, o sopro contínuo é característico, mas nos gatos pode não estar presente (Bascunan et al., 2017).
Estenose aórtica e pulmonar
A estenose pode afetar a aorta ou a artéria pulmonar e ser de tipo valvular, subvalvular ou supravalvular. A estenose aórtica subvalvular é a mais comum nos gatos e consiste em bandas fibrosas que obstruem a via de saída do ventrículo esquerdo. A distinção entre esta e a cardiomiopatia hipertrófica pode ser difícil, sendo por vezes necessários exames complementares para confirmação.
A gravidade clínica é variável, desde lesões ligeiras até obstruções severas, e os sinais podem incluir sopro sistólico, intolerância ao exercício, síncope ou insuficiência cardíaca.
Doença cianótica
Mais raramente, a cardiopatia congénita pode manifestar-se por cianose, como na tetralogia de Fallot, nas PCA com derivação reversa ou nos DSV com shunt da direita para a esquerda. Devido à sua complexidade, a tetralogia de Fallot apresenta geralmente um prognóstico reservado (Chetboul et al., 2016).
Cuidados com pacientes com cardiopatia congénita
Os cuidados de enfermagem variam conforme os sinais clínicos e o diagnóstico. A redução do stresse e o controlo ambiental são fundamentais. O gato pode necessitar de suplementação de oxigénio, toracocentese e períodos de descanso entre exames.
É importante planear com o médico veterinário a sequência dos exames diagnósticos, de forma a minimizar o desconforto do animal. Durante a ecocardiografia, especialmente em casos de insuficiência cardíaca, o decúbito lateral prolongado pode comprometer a função pulmonar, exigindo vigilância atenta. O bem-estar do paciente deve prevalecer sobre a curiosidade clínica.
Conclusão
A CHD é uma condição rara em gatos, com apresentações muito variáveis. É mais frequentemente observada em animais jovens, com sopros cardíacos intensos. Os sinais podem incluir insuficiência cardíaca esquerda e/ou direita, colapso e cianose. Todos os gatos com sinais de compromisso respiratório devem ser manuseados com extrema cautela e submetidos ao mínimo de stresse possível.
