La boiterie chez le chien due à des lésions musculo-tendineuses et ligamentaires est courante et, bien que le diagnostic des lésions graves soit relativement simple, le diagnostic des lésions plus subtiles peut présenter un défi diagnostique.
La popularité des sports canins tels que l'agilité et le flyball a récemment augmenté, de même que le nombre d'animaux participant à des compétitions. Cela a entraîné une augmentation de la demande de diagnostics et de thérapies plus avancés car, au niveau de l'élite, un diagnostic et un traitement efficaces de blessures, même très mineures, sont essentiels pour garantir des performances optimales. Cela a conduit à une prise de conscience accrue des différents types de blessures qui surviennent chez les chiens. Bien que les implications des blessures puissent être différentes pour les animaux de compétition par rapport aux animaux non sportifs, les principes impliqués dans le diagnostic et le traitement de ces blessures des tissus mous sont les mêmes.
Le diagnostic des lésions sévères soit relativement simple, celui des lésions plus subtiles peut représenter un véritable défi diagnostique
Entorse ou foulure
Les termes "entorse", "foulure" et "muscle froissé" sont souvent utilisés de manière interchangeable pour décrire une blessure présumée aux tissus mous. Les ligaments prennent naissance et s'insèrent sur les os et s'étendent généralement sur une articulation. Ils assurent la stabilité de l'articulation et l'entorse est le terme approprié pour désigner une lésion ligamentaire. Les lésions ligamentaires surviennent généralement à la suite d'un étirement excessif ou d'une torsion. Les entorses récurrentes sont fréquentes en raison d'une cicatrisation inadéquate d'un ligament blessé. Même après une cicatrisation optimale, on estime qu'un ligament cicatrisé n'est que 75 % aussi résistant que le ligament d'origine. Les tendons relient le muscle à l'os ; leur fonction principale est de transférer la force de la contraction musculaire au squelette, et plus précisément, l'entorse est le terme approprié pour une blessure impliquant l'unité muscle-tendon.
On parle de contraction musculaire concentrique lorsqu'un muscle se raccourcit pendant la contraction. Dans la contraction isométrique, la longueur du muscle ne change pas pendant la contraction, et dans la contraction excentrique, le muscle s'allonge pendant la contraction. Un exemple de contraction excentrique est l'allongement des muscles quadriceps lorsqu'un animal s'appuie pour atterrir d'une hauteur. Les lésions musculo-tendineuses sont généralement dues à un étirement excessif pendant la contraction excentrique et se produisent le plus souvent à la jonction musculo-tendineuse. Des contusions et des lacérations peuvent également se produire, mais elles sont moins fréquentes. Les microtraumatismes répétés sont dus à une surutilisation, comme c'est souvent le cas pour les lésions de l'iliopsoas et la tendinopathie du supra-épineux.
Grade de la lésion
En termes simples, les lésions ligamentaires et musculo-tendineuses sont divisées en trois catégories, en fonction de la gravité de la lésion. Les lésions de grade 1 sont des lésions mineures qui impliquent des dommages à un petit pourcentage des fibres avec une perte minimale de l'architecture du tissu lésé. Les lésions de grade 3 sont des ruptures complètes et une lésion de grade 2 se situe typiquement entre les grades 1 et 3. Avec l'avènement de l'imagerie de pointe, chez l'homme, cette classification de base de la gravité a été largement remplacée par des classifications et des sous-classifications basées sur la localisation spécifique, l'étiologie spécifique et le mécanisme de la lésion. Ces classifications peuvent être utiles pour le pronostic et la prédiction des résultats, une considération importante dans le sport de haut niveau. Ce n'est pas encore le cas chez les animaux.
Examen clinique
Dans les blessures de grade 1, il peut y avoir une zone d'inconfort localisée, mais il y a peu de chaleur ou de gonflement, aucune instabilité palpable n'est présente et la boiterie est minime. Les contusions sont plus fréquentes en cas de lésion musculo-tendineuse qu'en cas de lésion ligamentaire. Le diagnostic d'une lésion de grade 2 ou 3 peut généralement être posé à la suite d'un examen physique approfondi, car la douleur focale est généralement plus évidente, avec un gonflement marqué au niveau du site de la lésion.
Les lésions ligamentaires s'accompagnent invariablement d'un certain degré d'instabilité de l'articulation. Les lésions musculo-tendineuses sont moins fréquentes et peuvent être plus difficiles à détecter à l'examen clinique, mais une douleur focale évidente et une chaleur et un gonflement marqués sont généralement présents dans les lésions de grade 2 et 3. Il y a souvent des écchymoses spectaculaires et, au début, un défaut physique est palpable à l'endroit de la blessure. En l'absence de traitement, des gonflements importants peuvent apparaître lorsque l'hématome est remplacé par du tissu fibreux (Figure 1).
Diagnostic
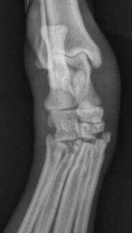
La radiographie simple peut être utile pour évaluer la présence d'une tuméfaction focale des tissus mous et la radiographie "sous contrainte" peut être utile pour documenter l'instabilité de l'articulation en cas de lésion ligamentaire importante ( Figure 2).
La tomodensitométrie (TDM) fournit beaucoup plus d'informations que les radiographies simples, en particulier dans les cas chroniques où des zones de minéralisation dystrophique peuvent s'être formées. La tomodensitométrie est inestimable dans les cas de traumatismes aigus qui peuvent avoir subi des lésions d'avulsion subtiles. L'échographie est devenue la modalité initiale de choix pour l'évaluation d'une variété de lésions musculo-tendineuses. En termes généraux, les régions hypoéchogènes représentent des lésions récentes et montrent des régions d'hémorragie et/ou de liquide, tandis que les régions hyperéchogènes représentent des régions de fibrose et de tissu cicatriciel plus typiques d'une lésion chronique Figure 3). L'échographie peut également fournir des informations supplémentaires en temps réel pendant que le tissu concerné est soumis à différentes amplitudes de mouvement.
La modalité de référence pour l'évaluation des lésions des tissus mous est l'imagerie par résonance magnétique (IRM), qui est pratiquée couramment chez l'homme. Elle devient de plus en plus courante chez les animaux et continuera à l'être au fur et à mesure que l'expérience dans ce domaine s'accroîtra (Figure 4).
Traitement
La majorité des entorses et foulures mineures de grade 1 peuvent être traitées avec succès en mettant le patient au repos jusqu'à ce que la boiterie disparaisse. Chez les animaux sportifs, les propriétaires sont plus enclins à appliquer le plan de traitement PRICE (protection, repos, glace, compression, élévation) largement accepté et utilisé en médecine sportive humaine. Ces techniques de base réduisent le risque d'aggravation des blessures et diminuent l'enflure et l'inflammation. L'objectif premier est d'empêcher la formation d'un tissu cicatriciel désorganisé qui est relativement inélastique et peut prédisposer à une récurrence de la blessure lors de la reprise de l'activité.
Les lésions ligamentaires entraînant une instabilité de l'articulation nécessitent une stabilisation qui implique invariablement une stabilisation chirurgicale par réparation primaire et/ou augmentation. Une période d'immobilisation est alors nécessaire pour permettre le renforcement du collagène nouvellement formé. Pour obtenir des résultats optimaux, une mobilisation précoce et contrôlée est nécessaire pour encourager le remodelage ultérieur des nouvelles fibres de collagène parallèlement aux lignes de tension. Les ligaments sont relativement peu irrigués par le sang et les délais de cicatrisation peuvent donc être très longs. Idéalement, un programme de rééducation spécifique devrait être mis en œuvre sous la direction d'un physiothérapeute expérimenté.
La prise en charge des lésions musculaires et tendineuses suit le même principe, l'objectif premier étant d'éviter la formation de tissu cicatriciel. En cas de lacune importante, il est recommandé de procéder à une apposition chirurgicale afin de réduire la propension à la formation de cicatrices. Les ultrasons thérapeutiques étaient auparavant utilisés pour traiter une variété de troubles musculo-tendineux ; ils ont été largement remplacés par une thérapie laser complémentaire pour accélérer le processus de guérison.
Lésions de l'iliopsoas
Les lésions de l’iliopsoas sont probablement la cause sous-diagnostiquée la plus fréquente de boiterie unilatérale du membre postérieur chez les chiens sportifs
Les lésions de l'iliopsoas sont probablement la cause sous-diagnostiquée la plus fréquente de boiterie unilatérale du membre postérieur chez les chiens sportifs. La boiterie ne répond généralement pas au repos et aux AINS, et elle est généralement exacerbée par une période d'exercice intense. Le muscle iliopsoas comprend deux muscles, le grand psoas et l'iliaque. Le grand psoas prend naissance sur les apophyses transverses des vertèbres lombaires L2 et L3 ainsi que sur les corps vertébraux de L4 à L7, tandis que l’iliaque prend naissance sur la face ventrale de l’ilium. Les muscles se rejoignent au niveau de l'ilion et s'insèrent en tant que tendon commun sur le petit trochanter du fémur. L'iliopsoas fléchit la hanche et la colonne vertébrale. On pense que la majorité des lésions sont dues à des blessures répétitives, mais des lésions aiguës peuvent survenir. Comme dans la plupart des cas de lésions musculo-tendineuses, le site de lésion le plus fréquent se situe à la jonction musculo-tendineuse, mais des lésions du ventre du muscle sont également observées.
Le diagnostic peut généralement être établi par échographie, mais l'IRM est la modalité de référence pour le diagnostic, car elle permet une évaluation détaillée de l'ensemble du muscle et peut délimiter des anomalies même très mineures. La douleur à l'extension et à la rotation interne de la hanche est fréquente mais non spécifique ; la douleur à la pression digitale est plus fiable. Le nerf fémoral se trouve à proximité immédiate et certains chiens peuvent présenter une signature marquée de la racine nerveuse. Le traitement des lésions aiguës vise à prévenir la formation de tissu cicatriciel, mais dans de nombreux cas, la situation est chronique. L'utilisation de la thérapie extracorporelle par ondes de choc est le traitement de choix de l'auteur pour briser les régions de fibrose en combinaison avec un programme de rééducation structuré.
Tendinopathie du sus-épineux
La douleur associée à l'insertion du tendon sus-épineux (le plus souvent à la jonction musculo-tendineuse) est une cause fréquente de boiterie non diagnostiquée du membre thoracique, en particulier chez les chiens sportifs. Comme pour les lésions de l'iliopsoas dans le membre pelvien, la boiterie est souvent insensible au repos et aux AINS et s'aggrave après un exercice intense. Le supra-épineux prend naissance dans la fosse supra-épineuse de l'omoplate et s'insère sur le tubercule supérieur de l'humérus. Il produit l'extension de l'épaule et l'avancement du membre et on pense que les lésions sont dues à des blessures répétitives. On l'observe fréquemment chez les chiens de flyball qui frappent de façon répétée la boîte avec un membre tendu. Les chiens cliniquement atteints présentent généralement une gêne à la palpation digitale ferme du tubercule supérieur au niveau du site de la lésion, l'épaule étant maintenue en flexion. La radiographie et la tomodensitométrie peuvent révéler une minéralisation dans le tendon (Figure 5) ; cependant, cette minéralisation est souvent accessoire et ne provoque généralement la douleur qu'en provoquant un conflit avec le tendon d'insertion adjacent du muscle biceps (Figure 6).
L'excision de la partie minéralisée est conseillée par de nombreuses personnes, mais la minéralisation réapparaît souvent et la prise en charge optimale est débattue. La technique préférée de l'auteur est une combinaison de traitement par ondes de choc extracorporelles et d'injections intralésionnelles de plasma riche en plaquettes concentré, mais ces techniques de traitement sortent du cadre de cet article et seront abordées dans un article ultérieur.
